MIJIN
クリニック・施術を検索
ログイン
会員登録
クリニック
カテゴリー
全体を見る
美容外科
皮膚クリニック
眼科
歯科
人気施術
脂肪吸引
鼻整形
目の整形
輪郭形成
豊胸手術
美容外科
皮膚クリニック
眼科
歯科
口コミ
REAL
ビフォーアフター
YouTube
マガジン
NEW
イベント
HOT
バーチャル整形
AI
MIJIN
ログイン
新規登録
人生ガチャ
人生ガチャ
クリニック
全体
美容外科
皮膚クリニック
眼科
歯科
コンテンツ
口コミ
B&A
YouTube
マガジン
イベント
サポート
よくある質問
お知らせ
お問い合わせ
ソーシャルログイン
ビフォーアフター
再生数順
新着順
施術前後のリアルな変化をご覧ください
すべての施術
#メブリー鼻矯正 #団子鼻矯正 #小鼻縮小
#わし鼻矯正 #団子鼻矯正 #小鼻縮小
#上眼瞼 #下眼瞼
#上眼瞼 #下眼瞼 #上眼窩脂肪除去
#上眼瞼 #目の上脂肪移植
#上眼瞼切開
#上眼瞼切開 #下眼瞼切開
#上眼瞼切開 #目頭切開
#下眼瞼
#下眼瞼 #上眼瞼
#下眼瞼 #目の上脂肪移植 #顔脂肪移植
#下眼瞼 #額リフト(エンドタイン)
#下眼瞼切開
#下眼瞼切開 #上眼窩脂肪除去
#下眼瞼切開 #目の上脂肪移植
#下眼瞼切開 #額リフト(エンドタイン)
#全切開 #まぶた脂肪除去
#全切開 #目つき矯正 #まぶた脂肪移植
#全切開 #目つき矯正 #目頭切開 #まぶた脂肪除去 #目の下の脂肪再配置
#切らない(埋没) #目つき矯正
#切らない切開(埋没法) #目の上脂肪移植
#切らない切開(埋没法) #目尻切開
#切らない切開(埋没法) #目尻切開 #目頭切開 #目の上脂肪除去
#切らない切開(埋没法) #目頭切開
#切らない切開(埋没法) #目頭切開 #目の下の脂肪再配置
#切らない目の下のたるみ取り #目つき矯正
#完全切開
#完全切開 #上眼瞼の脂肪除去
#完全切開 #上眼窩脂肪移植
#完全切開 #目つき矯正
#完全切開 #目つき矯正 #目尻切開
#完全切開 #目の上脂肪移植
#完全切開 #目の上脂肪移植 #目の下の脂肪再配置
#完全切開 #目尻切開 #目の上脂肪移植 #目つき矯正
#完全切開 #目頭切開
#完全切開 #目頭切開 #上眼瞼脂肪除去 #目尻切開 #目の下の脂肪再配置
#完全切開 #目頭切開 #上眼窩脂肪移植
#完全切開 #目頭切開 #癒着剥離
#完全切開 #目頭切開 #目つき矯正
#完全切開 #目頭切開 #目の上脂肪除去 #目尻切開 #目の下の脂肪再配置
#完全切開 #目頭切開 #目尻切開
#完全切開 #目頭切開 #目頭切開 #鼻筋(シリコン) #鼻先(自家軟骨) #ハンプ切除
#完全切開 #目頭切開 #目頭切開 #鼻筋(シリコン) #鼻先(自家軟骨) #わし鼻矯正
#完全切開 #目頭切開 #眼瞼下垂矯正
#完全切開 #目頭切開 #眼瞼下垂矯正 #上眼瞼の脂肪除去
#目つき矯正 #目の下の脂肪再配置
#目の下の脂肪再配置
#目の下の脂肪再配置 #グラマラスライン
#目の下の脂肪再配置 #顔脂肪移植
#目尻切開 #グラマラスライン
#目尻切開 #切らない切開(埋没法)
#目尻切開 #目の下の脂肪再配置
#目頭切開
#目頭切開 #目の上脂肪除去 #グラマラスライン #上眼瞼切開
#目頭切開 #部分切開 #目つき矯正 #上眼瞼脱脂
#眼瞼下垂矯正
#豊胸
#豊胸手術
#部分切開
#部分切開 #グラマラスライン
#部分切開 #グラマラスライン #目つき矯正
#部分切開 #プロテーゼなし鼻整形 #わし鼻矯正 #鼻先(自家軟骨)
#部分切開 #まぶたの脂肪移植
#部分切開 #まぶたの脂肪除去 #目つき矯正
#部分切開 #上眼瞼脂肪除去
#部分切開 #上眼瞼脂肪除去 #目尻切開・タレ目形成
#部分切開 #上眼瞼脱脂
#部分切開 #上眼瞼脱脂 #団子鼻矯正 #わし鼻矯正 #鼻筋(シリコン) #鼻先(自家軟骨)
#部分切開 #上眼瞼脱脂 #目つき矯正
#部分切開 #上眼瞼脱脂 #眼瞼下垂矯正
#部分切開 #上眼窩脂肪除去
#部分切開 #目つき矯正
#部分切開 #目つき矯正 #まぶたの脂肪除去
#部分切開 #目つき矯正 #まぶたの脂肪除去 #目の下の脂肪再配置
#部分切開 #目つき矯正 #まぶたの脂肪除去 #鼻筋(シリコン) #鼻先(自家軟骨) #わし鼻矯正
#部分切開 #目つき矯正 #まぶた脂肪除去 #目の下の脂肪再配置
#部分切開 #目つき矯正 #まぶた脂肪除去 #目頭切開 #目尻切開
#部分切開 #目つき矯正 #まぶた脂肪除去 #鼻筋(シリコン) #鼻先(自家軟骨) #わし鼻矯正
#部分切開 #目つき矯正 #上眼瞼脂肪除去
#部分切開 #目つき矯正 #上眼瞼脂肪除去 #鼻整形
#部分切開 #目つき矯正 #上眼窩脂肪除去
#部分切開 #目つき矯正 #目の上の脂肪移植
#部分切開 #目つき矯正 #目の下の脂肪再配置
#部分切開 #目つき矯正 #目尻切開・垂れ目形成
#部分切開 #目つき矯正 #目頭切開
#部分切開 #目つき矯正 #目頭切開 #目尻切開
#部分切開 #目つき矯正 #目頭切開 #目尻切開 #まぶた脂肪除去
#部分切開 #目つき矯正 #目頭切開 #目頭切開
#部分切開 #目つき矯正 #鼻再手術 #鼻筋(シリコン) #鼻先(自家軟骨) #短い鼻(アップノーズ)矯正
#部分切開 #目つき矯正 #鼻筋(シリコン) #鼻先(自家軟骨)
#部分切開 #目つき矯正 #鼻筋(シリコン) #鼻先(自家軟骨) #団子鼻矯正
#部分切開 #目つき矯正 #鼻筋(シリコン) #鼻先(自家軟骨) #短い鼻(アップノーズ)矯正
#部分切開 #目つき矯正 #鼻筋(シリコン) #鼻先(自家軟骨) #短い鼻(豚鼻)矯正
#部分切開 #目の下の脂肪再配置
#部分切開 #目尻切開
#部分切開 #目尻切開 #グラマラスライン #まぶた脂肪除去
#部分切開 #目尻切開 #たれ目形成
#部分切開 #目尻切開 #たれ目形成 #目の上脂肪除去
#部分切開 #目尻切開 #たれ目形成 #目の上脂肪除去 #鼻筋(シリコン) #鼻先(自家軟骨) #顔脂肪移植
#部分切開 #目尻切開 #たれ目形成 #鼻再手術 #鼻筋(シリコン)
#部分切開 #目尻切開 #まぶた脂肪除去
#部分切開 #目尻切開 #まぶた脂肪除去 #鼻筋(シリコン) #鼻先(自家軟骨)
#部分切開 #目尻切開 #垂れ目形成 #眼瞼下垂矯正
#部分切開 #目尻切開 #目の下の脂肪再配置
#部分切開 #目尻切開 #目頭切開 #まぶた脂肪除去
#部分切開 #目尻切開 #目頭切開 #まぶた脂肪除去 #目つき矯正 #短い鼻(豚鼻)矯正 #団子鼻矯正 #鼻筋(シリコン) #鼻先(自家軟骨)
#部分切開 #目尻切開 #眼瞼下垂矯正
#部分切開 #目尻切開 #鼻再手術 #鼻筋(シリコン) #鼻先(自家軟骨)
#部分切開 #目尻切開 #鼻筋(シリコン) #鼻先(自家軟骨)
#部分切開 #目頭切開
#部分切開 #目頭切開 #グラマラスライン #上眼瞼脂肪除去
#部分切開 #目頭切開 #グラマラスライン #上眼瞼脂肪除去 #目頭切開
#部分切開 #目頭切開 #グラマラスライン形成
#部分切開 #目頭切開 #グラマラスライン形成 #まぶたの脂肪除去
#部分切開 #目頭切開 #グラマラスライン形成 #上眼瞼脱脂
#部分切開 #目頭切開 #たれ目形成 #上眼窩脂肪除去
#部分切開 #目頭切開 #まぶたの脂肪除去 #鼻筋(シリコン) #鼻先(自家軟骨) #わし鼻矯正
#部分切開 #目頭切開 #まぶた脂肪除去
#部分切開 #目頭切開 #まぶた脂肪除去 #目尻切開
#部分切開 #目頭切開 #わし鼻矯正
#部分切開 #目頭切開 #上眼瞼脂肪除去
#部分切開 #目頭切開 #上眼瞼脂肪除去 #目尻切開 #垂れ目形成
#部分切開 #目頭切開 #上眼瞼脂肪除去 #目尻切開・タレ目形成
#部分切開 #目頭切開 #上眼瞼脱脂
#部分切開 #目頭切開 #上眼瞼脱脂 #眼瞼下垂矯正
#部分切開 #目頭切開 #上眼窩脂肪移植
#部分切開 #目頭切開 #上眼窩脂肪除去
#部分切開 #目頭切開 #下眼瞼
#部分切開 #目頭切開 #下眼瞼切開
#部分切開 #目頭切開 #癒着剥離
#部分切開 #目頭切開 #目の上脂肪除去 #目の下の脂肪再配置
#部分切開 #目頭切開 #目の下の脂肪再配置 #上眼窩脂肪移植
#部分切開 #目頭切開 #目尻切開
#部分切開 #目頭切開 #目尻切開 #まぶた脂肪除去 #鼻筋(シリコン) #鼻先(自家軟骨)
#部分切開 #目頭切開 #目尻切開 #上眼瞼脂肪除去
#部分切開 #目頭切開 #目尻切開 #上眼瞼脂肪除去 #鼻筋(シリコン) #鼻先(自家軟骨) #小鼻縮小
#部分切開 #目頭切開 #目尻切開 #上眼窩脂肪除去
#部分切開 #目頭切開 #目尻切開 #垂れ目形成
#部分切開 #目頭切開 #目尻切開 #目の上の脂肪除去
#部分切開 #目頭切開 #目尻切開 #目下切開 #上眼瞼脂肪除去 #鼻筋(シリコン) #鼻先(自家軟骨) #顔脂肪移植
#部分切開 #目頭切開 #目尻切開 #目下切開 #癒着剥離 #鼻再手術 #鼻筋(シリコン) #鼻先(自家軟骨) #顔脂肪移植
#部分切開 #目頭切開 #目尻切開 #眼瞼下垂矯正 #まぶた脂肪除去
#部分切開 #目頭切開 #目尻切開・グラマラスライン
#部分切開 #目頭切開 #目尻切開・グラマラスライン #上眼瞼脂肪除去
#部分切開 #目頭切開 #目頭切開
#部分切開 #目頭切開 #目頭切開 #上眼瞼脂肪除去
#部分切開 #目頭切開 #目頭切開 #上眼瞼脱脂
#部分切開 #目頭切開 #目頭切開 #上眼窩脂肪除去
#部分切開 #目頭切開 #目頭切開 #鼻筋(シリコン) #鼻先(自家軟骨)
#部分切開 #目頭切開 #目頭切開 #鼻筋(シリコン) #鼻先(自家軟骨) #わし鼻矯正
#部分切開 #目頭切開 #眼瞼下垂矯正
#部分切開 #目頭切開 #眼瞼下垂矯正 #上眼窩脂肪除去
#部分切開 #目頭切開 #鼻再手術 #鼻筋(シリコン) #鼻先(自家軟骨) #自家肋軟骨鼻整形 #わし鼻矯正
#部分切開 #目頭切開 #鼻整形
#部分切開 #眼瞼下垂矯正
#部分切開 #眼瞼下垂矯正 #まぶたの脂肪除去
#部分切開 #眼瞼下垂矯正 #目頭切開
#部分切開 #眼瞼下垂矯正 #目頭切開 #上眼窩脂肪除去
#非切開(埋没)
#非切開(埋没) #グラマラスライン形成
#非切開(埋没) #目つき矯正
#非切開(埋没) #目つき矯正 #鼻筋(シリコン) #鼻先(自家軟骨)
#非切開(埋没) #目の下の脂肪再配置
#非切開(埋没) #目尻切開
#非切開(埋没) #目尻切開 #グラマラスライン
#非切開(埋没) #目尻切開 #目の下の脂肪再配置
#非切開(埋没)#目の下の脂肪再配置
#非切開(埋没法)
#非切開(埋没法) #目つき矯正
#額リフト(エンドタイン)
#額リフト(エンドタイン) #下眼瞼
#額リフト(エンドタイン) #下眼瞼切開
#額リフト(エンドタイン) #目尻切開
#額リフト(エンドタイン) #目尻切開 #グラマラスライン
#額リフト(エンドタイン) #目尻切開 #目の下の脂肪再配置
#額リフト(エンドタイン) #目尻切開 #目下切開
#顔脂肪移植
#顔脂肪移植 #鼻筋(シリコン) #鼻先(自家軟骨) #自家肋軟骨鼻整形
#鼻筋(シリコン) #鼻先(自家軟骨)
#鼻筋(シリコン) #鼻先(自家軟骨) #小鼻縮小
#鼻筋(シリコン) #鼻先(自家軟骨) #自家肋軟骨鼻整形 #団子鼻矯正 #小鼻縮小
#鼻筋(シリコン) #鼻先(自家軟骨) #鼻翼縮小
#鼻筋(シリコン)#鼻先(自家軟骨)#小鼻縮小#団子鼻矯正
#鼻翼縮小
+ DA脂肪移植
+ シェイピング顔面輪郭 + 輪郭3点
+ シェイピング顔面輪郭[エラ+顎先]
+ シェイピング顔面輪郭[輪郭3点]
+ シェイピング顔面輪郭[輪郭3点] + アキュスカルプ
+ シェイピング顔面輪郭[輪郭3点] + フルフェイス脂肪移植
+ シェイピング顔面輪郭[頬骨]
+ シェイピング顔面輪郭[頬骨] + アキュスカルプ
+ シェイピング顔面輪郭[頬骨+オトガイ]
+ フルフェイス脂肪移植
+ フルフェイス脂肪移植 + ボトックス + アキュスカルプ
+ 輪郭再手術 + シェイピング輪郭[頬骨]
+ 輪郭再手術 + シェイピング輪郭[頬骨+顎先前進]
+DA脂肪吸引
+シェイピング輪郭整形 +輪郭3点
+ホワイトニングプログラム
+ミニリフト+ボトックス
+輪郭リフティング(アキュ) + プロテーゼ顔面輪郭
2種トゥイム(目尻切開、タレ目形成)
2種目元切開(目頭切開、目上切開)、ROOF脂肪除去
2種目元形成(目頭切開、タレ目形成)
3回目の自然癒着再手術
3点トゥイム(目頭切開、目尻切開、タレ目形成)
3種トゥイム(上トゥイム、目尻切開、目下切開)、目の下の脂肪再配置...
45度目上切開、目下切開
5回目の切開再手術、ライン下げ
DA 豊胸整形
DA脂肪吸引
DA脂肪吸引 + 腹部整形
DA脂肪吸引[腹部]
DA豊胸再手術
DA輪郭3点 + 目整形 + 鼻整形 + 脂肪移植
DK by MDコード
GLアンダートゥイム(目尻切開、タレ目形成)
GLアンダートゥイム(目尻切開、目下切開)、眼瞼内反
GL下まぶた拡大復元、眼瞼内反、目尻切開復元
GL下眼瞼下制復元、眉毛挙上術(片側)、眼瞼内反
GL下眼瞼下制復元、眼瞼内反
GL下眼瞼下制復元、眼瞼内反、GLアンダー切開(目尻切開、下眼瞼下制)...
GL垂れ目形成復元、眼瞼内反、目の下の脂肪再配置、垂れ目形成...
No矯正 スマイルセルフィー両顎 + 前顎
O脚縮小_6ヶ月目
PCLリフティング、唇フィラー
Vラインリフティング
Vラインリフト
Vラインリフト、ミニリフト
Vラインリフト、二重あごリフト
Vラインリフト、二重あごリフト、ミニリフト
Vラインリフト、二重あご脂肪吸引&筋肉縛り
Vラインリフト、頬のフィラー
Vラインリフト+ミント糸リフト
アキュ(フェイスライン、二重顎)
アキュ(フェイスライン、二重顎)+エラスティカム
アキュ(フェイスライン、二重顎)+ミント糸リフト
アキュ(フェイスライン)
アキュ(ボール)
アキュ(二重あご、フェイスライン)
アキュ(二重あご、フェイスライン)+Vラインリフティング+ミント糸リフト
アキュ(頬)+切開Vリフト+SMAS
アキュ(顎ライン、二重顎)+切開Vリフティング+ミント糸リフト
アキュスカルプ
アキュスカルプ (頬、顎ライン) + ミント糸リフト
アキュスカルプ(二重あご、フェイスライン)
アキュスカルプ(現在ヴィーナスレーザー)
アキュスカルプ(現在ヴィーナスレーザー)(顎ライン)
アキュスカルプ(現在ヴィーナスレーザー)(顎ライン)+ボトックス(顎)
インモード
インモードFORMA、シュリンク、バーチュRF
インモードFX、シュリンク、バーチュRF、フィット注射
ヴィーナス(顎下)、二重顎筋肉縛り
ヴィーナスレーザー(頬、顎下)、エンドタイン
ウルセラ
ウルセラ + 唇フィラー
ウルセラ、インモードFX+FORMA、シュリンク、バーチュRF
ウルセラ、インモードFX+FORMA、バーチュRF
ウルセラ+インモード
ウルセラ+インモード+蜜艶ボトックス
ウルセラ+インモード+輪郭注射
ウルセラ+サーマクール
ウルセラ+ダーマトキシン
ウルセラ+ダーマトキシン Vライン
ウルセラ400ショット、リジュランヒーラー、リリイド
ウルセラプライム 300ショット + サーマクールFLX 300ショット
ウルセラプライム 400ショット+オンダ 40KJ
ウルセラプライム 400ショット+レディエッセ(マリオネットライン、ほうれい線)
ウルセラプライム+インモードFX
ウルセラリフティング
えくぼ形成
えくぼ手術 (片側)
エピティコンリフティング(ほうれい線、フェイスライン)
エピティコンリフト(ほうれい線、フェイスライン)+顎フィラー+エラボトックス
エラ、頬骨、皮質骨切り、脂肪移植、ヴィーナスレーザー
エラ、頬骨、顎先
エラ、頬骨、顎先、両顎
エラ、頬骨、顎先、皮質骨切り
エラ、頬骨、顎先、皮質骨切除、バッカルファット除去
エラ、頬骨、顎先、皮質骨切除、鼻(鼻筋、鼻先)再手術
エラ、顎先
エラ、顎先、皮質骨切り
エラ、顎先、皮質骨切除、ヴィーナス(頬、顎下)
エラ、顎先、皮質骨切除、ヴィーナス(頬、顎下)、糸リフト
エラ+頬骨+Vライン形成
エラ+顎先
エラ+顎先形成(T字切骨)
エラスティクム
エラスティクム + アキュ (頬)
エラスティクム + ミニリフト
エラスティクム + ミント糸リフト + ミニリフト
エラスティクム+アキュスカルプ
エラスティクム+アキュスカルプ(二重あご、ほうれい線)
エラボトックス、顎フィラー、眉毛挙上術
エラ削り+頬骨削り+顎先形成(輪郭3点)+鼻整形
エラ削り+頬骨縮小+顎先形成+鼻整形
エラ削り+頬骨縮小術
エラ削り+顎先形成(T字切骨)
エラ削り+顎先手術+鼻再手術
エラ削り+鼻整形+アキュスカルプ(フェイスライン)
エラ削り再手術+頬骨削り再手術
エラ削り再手術+頬骨縮小+顎先
エラ縮小
エラ縮小+頬骨縮小
エラ縮小+頬骨縮小+V字切骨
エラ縮小+頬骨縮小+顎先形成(再手術)
エラ縮小+頬骨縮小+顎先形成(輪郭3点)
エラ縮小+頬骨縮小+顎先整形
エラ縮小+頬骨縮小再手術+顎先形成
エラ縮小+顎先形成
エラ縮小術
エンドタイン、ヴィーナスレーザー
エンドタイン額リフト
オーダーメイドプロテーゼ鼻整形
オーダーメイドプロテーゼ鼻整形、鷲鼻矯正
オトガイ前進
オトガイ骨切り術
ギンコ
グラマラスライン
クラリティ
こめかみフィラー
コラーゲンブースター(ラポレン)
サーマクールFLX 300ショット+スカルプトラ(前頬+ほうれい線+横頬)
サーマクールFLX 600ショット+オンダ 60KJ
シェイピング輪郭整形[頬骨+顎先] + 輪郭再手術
シェイピング顔面輪郭[エラ] + アキュスカルプ
シェイピング顔面輪郭[エラ+顎先]
シェイピング顔面輪郭[輪郭3点]
シェイピング顔面輪郭[輪郭3点]+アキュスカルプ+フルフェイス脂肪移植
シェイピング顔面輪郭[頬骨+エラ]
シェイピング顔面輪郭[頬骨+顎先]
シェイピング顔面輪郭[顎先]
ジェンバー糸、ほうれい線フィラー
しずく型豊胸 (シリメッド 275cc)
しずく型豊胸 (セビン 325cc)
しずく型豊胸 (ポリテック 240cc)
しずく型豊胸 (ポリテック 260cc)
しずく型豊胸 (ポリテック 275cc)
しずく型豊胸 (ポリテック 300cc)
しずく型豊胸 (ポリテック 315cc)
しずく型豊胸 (ポリテック 350cc)
しずく型豊胸 (メンター 270cc)
しずく型豊胸 (メンター 295cc)
しずく型豊胸 (メンター 305cc)
しずく型豊胸(255cc)
しずく型豊胸(280cc)
しずく型豊胸(375cc)
シニア額リフト、眉下切開、自然癒着
シミ管理(レーザー)、リジュランヒーラー
ジャンバー糸リフト
ジャンボリー失敗
ジュニア額リフト
ジュニア額挙上、自然癒着、ウィットイム
ジュビダム ボリフト
ジュベルックボリューム
シュリンク、インモードFX+FORMA
シュリンク、オンダ
シュリンクリフティング、インモードリフティング
シルエットリフティング
スカルプトラ、額フィラー
スキンボトックス
スマイル両顎+ターニング頬骨縮小+鼻再手術+脂肪移植
スマイル両顎+頬骨縮小+オトガイ
スリムボディフィット注射
セビンインテグリティ_12ヶ月目
セビンインテグリティ_1ヶ月目
セビンインテグリティ_2ヶ月目
セビンインテグリティ_3ヶ月目
セビンインテグリティ_4ヶ月目
セビンインテグリティ_6ヶ月目
セビンサブリミティ_1ヶ月目
セビンサブリミティ_2ヶ月目
セビンサブリミティ_6ヶ月目
セビンサブリミティ_7ヶ月目
セビンサブリミティ_8ヶ月目
セビンサブリミティ_9ヶ月目
セビンサブリミティ_ボトミングアウト_12ヶ月目
セビンサブリミティ_形の不満_6ヶ月目
セビン豊胸
その他
ターニング頬骨縮小 + アキュスカルプ
ダーモトキシン Vライン
ダブルトゥイム+上眼瞼再手術
ディエィリフティング
デュアル下眼瞼
デュアル切開、フェイスリフト、上まぶたの脂肪移植、ほうれい線の脂肪移植
ナトレルしずく型豊胸術(再手術)
ニキビプログラム
ニキビ治療
ニキビ跡の治療
ネックリフト
パセラリフティング
パセラリフティング、フィット注射、ボディラインシュリンク
ピーチシルエット Vラインリフティング
ピーチシルエット、Vラインシルエットリフト
ピーチシルエット、Vラインリフティング
ピーチシルエット、Vラインリフト
ピーチシルエットリフティング
ピーチリフティング
ピーチリフティング、Vシルエットリフティング
ピーチリフティング、Vラインリフティング
ピーチリフティング、Vラインリフティング、ジュベルックボリューム
ピーチリフティング、Vラインリフティング、ミニリフティング
ピーチリフティング、Vラインリフティング、二重あごリフティング
ピーチリフティング、Vリフティング、ほうれい線フィラー
ピーチリフティング、フェイスラインリフティング
ピーチリフティング、ほうれい線フィラー
ピーチリフト、Vリフト、二重顎筋肉縛り、二重顎脂肪吸引、顎先フィラー
ピコシュア(タトゥー除去)
ヒップアップリフティング(エピティコン+脂肪吸引+脂肪移植)
ヒップアップリフト(エピティコン+脂肪吸引)
ヒップアップリフト(エピティコン+脂肪吸引+フィラー)
ヒップアップリフト(エピティコン+脂肪吸引+脂肪移植+ヒップアップフィラー)
ヒップアップリフト(エピティコン+脂肪吸引+脂肪移植+フィラー)
ヒップディップフィラー
ヒップフィラー
フィラー(眉上、前頬、ほうれい線、顎、唇、鼻筋、額)
フィラー(額+ほうれい線+頬)+リジュランヒーラー 2cc
フェイスリフト
フェイスリフト、エラ縮小、上眼瞼、下眼瞼、額リフト
フェイスリフト、まぶたの脂肪移植、ほうれい線の脂肪移植
フェイスリフト、下眼瞼、脂肪移植(目の下)
フェイスリフト、眉下リフト、下眼瞼、フルフェイス脂肪移植(目の上下を含む)
フェイスリフト(再手術)、額リフト、バッカルファット除去、顎下筋肉縛り...
フェイスリフト+アキュスカルプ
フェイスリフト+アキュリフト(ほうれい線上、フェイスライン)+脂肪移植(ほうれい線、目の下)
フェイスリフト+ネックリフト
フェイスリフト+ネックリフト+上眼瞼+鼻整形+アキュリフト+脂肪移植
フェイスリフト+ネックリフト+下眼瞼
フェイスリフト+突出口+人中短縮
フェイスリフト+脂肪移植
ふくらはぎボトックス
ブルーローズリフティング(フェイスライン)
ブルーローズリフティング(ほうれい線、顎ライン)
フルフェイス・フェイスリフト
フルフェイスフェイスリフト、頬骨縮小術、顎先縮小術
フルフェイスフェイスリフト、額挙上、頬骨縮小術、長曲線エラ削り、皮質骨切除術、顎先縮小術、顎先前進術
フルフェイスリフト
フルフェイスリフト、エラ削り
フルフェイスリフト、額リフト
フルフェイスリフト+アキュスカルプ(フェイスライン)
フルフェイスリフト+アキュリフト
フルフェイスリフト+エンドタインリフト
フルフェイスリフト+ネックリフト
フルフェイスリフト+ネックリフト+アキュリフト
フルフェイスリフト+下眼瞼
フルフェイスリフト+下眼瞼手術
フルフェイスリフト+脂肪移植
フルフェイス脂肪移植
フルフェイス脂肪移植+アキュスカルプ
フルフェイス脂肪移植+ミニリフト+唇フィラー
フルミニリフト+アキュスカルプ
フルミニリフト+下眼瞼
フルミニリフト+軟部組織輪郭術
プロテーゼなし鼻尖形成、団子鼻、小鼻縮小
プロテーゼなし鼻整形、骨切り、鷲鼻修正
プロテーゼ顔面輪郭 [額形成術]
ベラジェル豊胸
ベラジェル豊胸+副乳除去
ベラジェル豊胸手術(再手術)
ほうれい線+バッカルファットリフト(レディエッセ)
ほうれい線フィラー
ほうれい線リフティング(オンダ)
ほうれい線リフト(レディエッセ)
ほうれい線脂肪移植
ボトックス フィラー
ボルニューマー
ボルニューマー 300ショット+オンダ 40KJ
ボルニューマー 400ショット+オンダ 40KJ
ボルニューマー、シュリンクユニバース
ホワイトニングプログラム
マックスリフト(フェイスリフト)
マックスリフト(フェイスリフト)+ヴィーナスレーザー
マックスリフト(フェイスリフト)+上眼瞼+下眼瞼+脂肪移植
マックスリフト(フェイスリフト)+脂肪移植
マックスリフト(フェイスリフト)+脂肪移植+ボトックス
マックスリフト(フェイスリフト)+脂肪移植+上眼瞼+下眼瞼+目の下の脂肪再配置
まぶたの脂肪移植、眉毛挙上術
ミスコ+顎矯正
ミニフェイスリフト
ミニリフティング
ミニリフト (SMAS)
ミニリフト (SMAS) + ミント糸リフト
ミニリフト + ミント糸リフト
ミニリフト+Vラインリフト
ミニリフト+Vラインリフト+ミント糸リフト
ミニリフト+Vラインリフト+脂肪移植
ミニリフト+Vラインリフト+額脂肪移植
ミニリフト+アキュ(ほうれい線上)
ミニリフト+アキュスカルプ
ミニリフト+アキュスカルプ+額挙上(エンドタイン)+フルフェイス脂肪移植+ボトックス[額、梅干し顎]
ミニリフト+アキュリフト
ミニリフト+エラスティクム
ミニリフト+エラスティクム+フルフェイス脂肪移植
ミニリフト+エラスティクム+ミントリフト
ミニリフト+エラスティクム+脂肪移植
ミニリフト+エラスティクムリフト+エラボトックス
ミニリフト+ミントリフト
ミニリフト+ミント糸リフト
ミニリフト+ミント糸リフト+Vライン顎ラインリフト
ミニリフト+ミント糸リフト+エラスティクムリフト(首)
ミニリフト+ミント糸リフト+フルフェイス脂肪移植
ミニリフト+ミント糸リフト+脂肪移植(額、ほうれい線)
ミニリフト+糸リフト
ミニリフト+脂肪移植
ミニ下眼瞼、前頬脂肪移植
ミニ腹部整形
ミントリフト
ミント糸リフト + アキュ (フェイスライン、二重顎)
ミント糸リフト + アキュ (フェイスライン)
ミント糸リフト + ミニリフト (SMAS)
メンズヘアライン 1500毛 / 1ヶ月後
メンズ両顎手術+メンズ目整形+メンズ鼻整形
メンズ二重幅を狭くする
メンズ二重整形 埋没法
メンズ目の整形 埋没法[再手術]+ダブルトゥイム
メンズ目元整形 + 非切開目つき矯正
メンズ目元整形 切らない眼瞼下垂修正+目頭切開+目尻切開
メンズ目元整形 切開+目つき矯正+目の下の脂肪再配置
メンズ目元整形 切開+目つき矯正+目頭切開
メンズ目元整形 切開式目つき矯正+目尻切開+たれ目形成
メンズ目元整形 切開法[修正]+目つき矯正+目の下の脂肪再配置
メンズ目元整形 切開法+目つき矯正+トゥイム整形
メンズ目元整形 切開法+目つき矯正+目頭切開
メンズ目元整形 切開法+眼瞼下垂+目頭切開
メンズ目元整形 切開法目つき矯正+ウィットイム+目尻切開+タレ目形成
メンズ目元整形 切開法目つき矯正+目頭切開+目尻切開
メンズ目元整形 切開法眼瞼下垂修正+目頭切開
メンズ目元整形 切開目つき矯正+目の再手術
メンズ目元整形 切開目つき矯正再手術+目頭切開復元
メンズ目元整形 埋没法
メンズ目元整形 埋没法+目つき矯正
メンズ目元整形 埋没法+目つき矯正+デュアル切開
メンズ目元整形 埋没法+目つき矯正+目頭切開+目尻切開
メンズ目元整形 埋没法+眉毛挙上術
メンズ目元整形 埋没法目つき矯正
メンズ目元整形 埋没法眼瞼下垂修正+ダブルトゥイム
メンズ目元整形 目つき矯正+目頭切開+目尻切開
メンズ目元整形 眉下切開+目尻切開+たれ目形成
メンズ目元整形 部分切開目つき矯正
メンズ目元整形 非切開目つき矯正
メンズ目元整形 非切開目つき矯正[再手術]+ダブル切開
メンズ目元整形 非切開目つき矯正+目の下の脂肪再配置
メンズ目元整形 非切開目つき矯正+目尻切開
メンズ目元整形 非切開目つき矯正+目頭切開
メンズ目元整形 非切開目つき矯正+目頭切開+ダブル切開
メンズ目元整形 非切開目つき矯正+目頭切開+目の下の脂肪再配置
メンズ目元整形 非切開目つき矯正+目頭切開+目尻切開+たれ目形成
メンズ目元整形 非切開眼瞼下垂修正+目尻切開+タレ目形成
メンズ目元整形+切開目つき矯正
メンズ目元整形+切開目つき矯正+目頭切開
メンズ目整形 + 切開目つき矯正
メンズ目整形 切開+目つき矯正
メンズ目整形 切開法+目つき矯正+目の再手術
メンズ目整形 切開法+目再手術
メンズ目整形 切開法目つき矯正+目尻切開
メンズ目整形 切開法眼瞼下垂+目頭切開
メンズ目整形 切開目つき矯正
メンズ目整形 切開目つき矯正+目尻切開+タレ目形成
メンズ目整形 埋没法[再手術]+ダブルトゥイム
メンズ目整形 埋没法+目つき矯正
メンズ目整形 埋没法+目つき矯正+目頭切開
メンズ目整形 埋没法+目つき矯正+目頭切開+目尻切開
メンズ目整形 埋没法+目の再手術
メンズ目整形 埋没法+目頭切開
メンズ目整形 埋没法+眉下切開
メンズ目整形 目つき矯正
メンズ目整形 目の下の脂肪再配置
メンズ目整形 目の再手術+切開+目つき矯正+目頭切開
メンズ目整形 目頭切開
メンズ目整形 非切開目つき矯正 再手術
メンズ目整形 非切開目つき矯正+目尻切開+目下切開
メンズ目整形 非切開目つき矯正+目頭切開+目尻切開
メンズ目整形 非切開目つき矯正+目頭切開+目尻切開+タレ目形成
メンズ目整形 鼻整形
メンズ目整形+目頭切開
メンズ目整形+非切開目つき矯正
メンズ輪郭 シェイピング輪郭[エラ+顎先]
メンズ輪郭 シェイピング輪郭[輪郭3点]+咬筋縮小術
メンズ輪郭 シェイピング輪郭[頬骨+エラ]
メンズ輪郭 シェイピング輪郭整形+目整形+鼻整形
メンズ輪郭シェイピング 輪郭整形+ターニング頬骨縮小+顎先前進
メンズ輪郭整形 エラ+頬骨
メンズ輪郭整形 エラ削り+頬骨縮小+顎先形成(輪郭3点)
メンズ輪郭整形 シェイピング輪郭+エラ
メンズ輪郭整形 シェイピング輪郭整形
メンズ輪郭整形 シェイピング輪郭整形[エラ]
メンズ輪郭整形 シェイピング輪郭整形[頬骨]
メンズ輪郭整形 シェイピング輪郭整形[頬骨+エラ+顎先前進]+メンズ鼻整形
メンズ顔面輪郭 ターニング頬骨縮小
メンズ鼻整形 低い鼻+団子鼻
メンズ鼻整形 低い鼻+団子鼻+斜鼻
メンズ鼻整形 低い鼻+団子鼻+短い鼻+小鼻縮小
メンズ鼻整形 低い鼻+斜鼻+鼻尖形成
メンズ鼻整形 低い鼻+短い鼻
メンズ鼻整形 低い鼻+短い鼻+鷲鼻
メンズ鼻整形 低い鼻+長い鼻/矢印鼻+幅の広い鼻筋
メンズ鼻整形 低い鼻+鷲鼻
メンズ鼻整形 低い鼻+鷲鼻+団子鼻
メンズ鼻整形 低い鼻+鷲鼻+団子鼻+鼻尖形成
メンズ鼻整形 低い鼻+鷲鼻+小鼻縮小
メンズ鼻整形 低い鼻+鷲鼻+鼻尖形成+小鼻縮小
メンズ鼻整形 低い鼻+鼻再手術
メンズ鼻整形 低い鼻筋
メンズ鼻整形 団子鼻
メンズ鼻整形 団子鼻 骨切り
メンズ鼻整形 団子鼻+小鼻縮小+短い鼻
メンズ鼻整形 団子鼻+小鼻縮小術
メンズ鼻整形 団子鼻+幅広鼻筋+小鼻縮小+鼻炎・美容鼻整形
メンズ鼻整形 団子鼻+広い鼻筋
メンズ鼻整形 団子鼻+斜鼻
メンズ鼻整形 団子鼻+斜鼻+幅の広い鼻筋
メンズ鼻整形 団子鼻+短い鼻
メンズ鼻整形 団子鼻+短い鼻+小鼻縮小術
メンズ鼻整形 団子鼻+鼻先
メンズ鼻整形 団子鼻+鼻炎・美容鼻
メンズ鼻整形 団子鼻+鼻炎美容鼻整形
メンズ鼻整形 団子鼻+鼻筋
メンズ鼻整形 団子鼻修正
メンズ鼻整形 団子鼻手術
メンズ鼻整形 団子鼻矯正+短鼻矯正
メンズ鼻整形 小鼻縮小
メンズ鼻整形 小鼻縮小 広い鼻筋 鼻炎美容鼻整形
メンズ鼻整形 小鼻縮小+広い鼻筋
メンズ鼻整形 小鼻縮小+鼻筋の幅寄せ+鼻炎・美容鼻
メンズ鼻整形 小鼻縮小術
メンズ鼻整形 幅広の鼻筋+団子鼻
メンズ鼻整形 幅広の鼻筋+小鼻縮小術
メンズ鼻整形 幅広の鼻筋+鷲鼻
メンズ鼻整形 広い鼻+鷲鼻
メンズ鼻整形 広い鼻筋+小鼻縮小
メンズ鼻整形 広い鼻筋+鼻炎美容鼻整形
メンズ鼻整形 斜鼻
メンズ鼻整形 斜鼻 鷲鼻
メンズ鼻整形 斜鼻+再手術
メンズ鼻整形 斜鼻+広い鼻筋
メンズ鼻整形 斜鼻+鷲鼻
メンズ鼻整形 斜鼻+鼻再手術
メンズ鼻整形 斜鼻修正+鷲鼻
メンズ鼻整形 曲がった鼻+短い鼻
メンズ鼻整形 短い鼻 広い鼻筋 鼻炎美容鼻整形
メンズ鼻整形 短い鼻 曲がった鼻
メンズ鼻整形 短い鼻/アップノーズ+斜鼻
メンズ鼻整形 短い鼻+団子鼻+鼻再手術
メンズ鼻整形 短い鼻+小鼻縮小
メンズ鼻整形 短い鼻+広い鼻筋
メンズ鼻整形 短い鼻+広い鼻筋+鼻再手術
メンズ鼻整形 短鼻矯正+団子鼻矯正+小鼻縮小
メンズ鼻整形 短鼻矯正+団子鼻矯正+鷲鼻
メンズ鼻整形 自家軟骨鼻整形
メンズ鼻整形 長い鼻+広い鼻筋
メンズ鼻整形 骨切り
メンズ鼻整形 骨切り 団子鼻
メンズ鼻整形 骨切り 団子鼻 耳介軟骨
メンズ鼻整形 骨切り 斜鼻
メンズ鼻整形 骨切り 短鼻 小鼻縮小 鼻柱挙上 鼻炎・美容鼻
メンズ鼻整形 骨切り 鷲鼻
メンズ鼻整形 骨切り 鷲鼻 小鼻縮小
メンズ鼻整形 骨切り 鼻炎鼻整形 寄贈肋軟骨
メンズ鼻整形 骨切り+団子鼻
メンズ鼻整形 鷲鼻
メンズ鼻整形 鷲鼻+団子鼻
メンズ鼻整形 鷲鼻+団子鼻+幅広の鼻筋
メンズ鼻整形 鷲鼻+団子鼻+短い鼻
メンズ鼻整形 鷲鼻+団子鼻矯正
メンズ鼻整形 鷲鼻+団子鼻矯正+短い鼻矯正
メンズ鼻整形 鷲鼻+団子鼻矯正+鼻炎・美容鼻
メンズ鼻整形 鷲鼻+小鼻縮小
メンズ鼻整形 鷲鼻+幅広の鼻筋
メンズ鼻整形 鷲鼻+幅広の鼻筋+斜鼻
メンズ鼻整形 鷲鼻+斜鼻
メンズ鼻整形 鷲鼻+斜鼻+団子鼻+幅広の鼻筋
メンズ鼻整形 鷲鼻+斜鼻+幅広鼻
メンズ鼻整形 鷲鼻+斜鼻+広い鼻筋
メンズ鼻整形 鷲鼻+斜鼻+長い鼻
メンズ鼻整形 鷲鼻+矢印鼻+斜鼻
メンズ鼻整形 鷲鼻+長い鼻
メンズ鼻整形 鷲鼻+長い鼻+広い鼻筋
メンズ鼻整形 鷲鼻+鼻炎美容鼻
メンズ鼻整形 鼻先
メンズ鼻整形 鼻先彫刻術+団子鼻
メンズ鼻整形 鼻再手術
メンズ鼻整形 鼻再手術 団子鼻 短い鼻
メンズ鼻整形 鼻再手術 寄贈肋軟骨
メンズ鼻整形 鼻再手術 斜鼻
メンズ鼻整形 鼻再手術 斜鼻 寄贈肋軟骨
メンズ鼻整形 鼻再手術 短い鼻 団子鼻
メンズ鼻整形 鼻再手術 短い鼻 小鼻縮小
メンズ鼻整形 鼻再手術 鷲鼻 団子鼻矯正
メンズ鼻整形 鼻再手術+団子鼻+短い鼻
メンズ鼻整形 鼻再手術+小鼻縮小+斜鼻修正
メンズ鼻整形 鼻再手術+斜鼻
メンズ鼻整形 鼻再手術+斜鼻修正
メンズ鼻整形 鼻再手術+短い鼻
メンズ鼻整形 鼻再手術+短い鼻+小鼻縮小術+鼻炎・美容鼻整形
メンズ鼻整形 鼻再手術+鼻炎美容鼻整形
メンズ鼻整形 鼻尖形成 小鼻縮小
メンズ鼻整形 鼻尖形成+小鼻縮小
メンズ鼻整形 鼻炎・美容鼻+短鼻矯正
メンズ鼻整形 鼻炎+骨切り
メンズ鼻整形 鼻炎美容鼻
メンズ鼻整形 鼻炎美容鼻整形
メンズ鼻整形 鼻炎鼻整形+短鼻矯正
メンズ鼻整形 鼻筋+小鼻縮小
メンターエクストラ_1年目
メンターエクストラ_2ヶ月目
メンターエクストラ_9ヶ月目
メンターエクストラ_テクスチャインプラント入れ替え_6ヶ月目
メンターエクストラ_形状不満_5ヶ月目
メンタースムース_1ヶ月目
メンタースムース_2ヶ月目
メンタースムース_3ヶ月目
メンタースムース_6ヶ月目
メンタースムース_乳房再建_6ヶ月目
メンタースムース_包膜拘縮_1ヶ月目
メンター豊胸
メンター豊胸+副乳除去
モティバ
モティバ_12ヶ月目
モティバ_13ヶ月目
モティバ_1年目
モティバ_2ヶ月目
モティバ_3ヶ月目
モティバ_4ヶ月目
モティバ_5ヶ月目
モティバ_6ヶ月目
モティバ_7ヶ月目
モティバ_8ヶ月目
モティバ_サイズ不満_11ヶ月目
モティバ_ボトミングアウト_4ヶ月目
モティバ_形の不満_1ヶ月目
モティバ_莢膜拘縮_6ヶ月目
モティバ豊胸
モティバ豊胸+副乳除去
ライコルフィラー プチ両顎
ラウンド豊胸
リジュランヒーラー
リジュランヒーラー 4cc
リップフィラー
リフティング
リポソニック ヒートスリム
リポソニックヒートスリム
レディアス
レディエッセ(ほうれい線+頬のボリューム)
ワンデーヒットスリム
一重切開目つき矯正、まぶたの脂肪取り
上まぶたの脂肪移植
上まぶた脂肪移植
上眼瞼
上眼瞼 + 目の下の脂肪再配置
上眼瞼,下眼瞼
上眼瞼、下眼瞼
上眼瞼、下眼瞼、外眥固定術
上眼瞼、下眼瞼、目つき矯正
上眼瞼、下眼瞼、目つき矯正、目頭切開、外眼角固定術...
上眼瞼、切開(二線法、3回)、目つき矯正、脂肪移植(まぶた)、ライン下げ...
上眼瞼、目つき矯正
上眼瞼、目つき矯正、ウィットイム
上眼瞼、目つき矯正、下眼瞼
上眼瞼、目つき矯正、下眼瞼、外眥形成術
上眼瞼、目の下の脂肪再配置
上眼瞼、目頭切開復元
上眼瞼、眉下切開
上眼瞼、眉毛挙上術
上眼瞼、眼瞼下垂、上まぶたの脂肪移植
上眼瞼、眼瞼下垂、眉下切開
上眼瞼(二重修正)、下眼瞼、目つき矯正、目尻切開、目の下の脂肪再配置、ラインを低くする...
上眼瞼(再)
上眼瞼+下眼瞼
上眼瞼+下眼瞼+目つき矯正
上眼瞼+目つき矯正
上眼瞼+目の下の脂肪再配置
上眼瞼+目の再手術+目頭切開+下眼瞼下制
上眼瞼+目頭切開
上眼瞼+眉下リフト
上眼瞼の目つき矯正、下眼瞼脂肪再配置、目の上の脂肪移植
上眼瞼再手術
上眼瞼再手術、下眼瞼・目の下の脂肪再配置
上眼瞼再手術+下眼瞼
上眼瞼再手術+目の下の脂肪除去
上眼瞼整形、下眼瞼整形
上眼瞼整形(目の上のくぼみ、三重まぶたの修正)、目の上の脂肪移植
上眼瞼目つき矯正
上眼瞼目つき矯正+下眼瞼
上眼瞼目つき矯正+再手術
上眼瞼眼瞼下垂修正再手術
上顎 / 前歯部 / 3本以下 /
上顎 / 前歯部 / 3本以下 / 骨移植
上顎 / 前歯部 / 4本以上 / 骨移植
上顎 / 臼歯部 / 3本以下 / 骨移植
上顎/全体 / 骨移植
上顎/全体 / 骨移植|睡眠
上顎/全体 / 骨移植|睡眠|アスピリン
上顎/全体 / 骨移植|睡眠|高血圧
上顎/全体 / 骨移植|睡眠|高血圧|糖尿病
上顎/前歯部 / 3本以下 / 骨移植|睡眠
上顎/前歯部 / 3本以下 / 骨移植|睡眠|アスピリン
上顎/前歯部 / 3本以下 / 骨移植|睡眠|高血圧
上顎/前歯部 / 3本以下 / 骨移植|睡眠|高血圧|糖尿病|アスピリン
上顎/前歯部 / 3本以下 / 骨移植|高血圧
上顎/前歯部 / 3本以下 / 骨移植|高血圧|糖尿病
上顎/前歯部 / 4本以上 / 骨移植|アスピリン
上顎/前歯部 / 4本以上 / 骨移植|睡眠
上顎/前歯部 / 4本以上 / 骨移植|睡眠|高血圧
上顎/前歯部 / 4本以上 / 骨移植|睡眠|高血圧|糖尿病
上顎/前歯部 / 4本以上 / 骨移植|糖尿病
上顎/前歯部 / 4本以上 / 骨移植|糖尿病|アスピリン
上顎/前歯部 / 4本以上 / 骨移植|高血圧
上顎/前歯部 / 4本以上 / 骨移植|高血圧|糖尿病
上顎/臼歯部 / 3本以下 / 骨移植|睡眠
上顎/臼歯部 / 3本以下 / 骨移植|睡眠|糖尿病
上顎/臼歯部 / 3本以下 / 骨移植|静脈内鎮静|高血圧
上顎/臼歯部 / 3本以下 / 骨移植|高血圧
上顎/臼歯部 / 3本以下 / 骨移植|高血圧|糖尿病
上顎/臼歯部 / 4本以上 / 骨移植
上顎/臼歯部 / 4本以上 / 骨移植|睡眠
上顎/臼歯部 / 4本以上 / 骨移植|睡眠|高血圧
上顎/臼歯部 / 4本以上 / 骨移植|睡眠|高血圧|糖尿病
上顎/臼歯部 / 4本以上 / 骨移植|睡眠|高血圧|糖尿病|アスピリン
上顎/臼歯部 / 4本以上 / 骨移植|高血圧
下眼瞼
下眼瞼 眉毛挙上術 目の下の脂肪再配置
下眼瞼、中顔面リフト
下眼瞼、中顔面リフト、目の下の脂肪再配置
下眼瞼、前頬の脂肪移植
下眼瞼、前頬脂肪移植
下眼瞼、目の下の脂肪再配置、中顔面リフト
下眼瞼、眉下リフト、中顔面リフト、フェイスリフト、脂肪移植(フルフェイス)、ボトックス(眉間)、フラクセル、PDRN注射、DDR
下眼瞼、眉下リフト、脂肪注入(目の下)、ボトックス(目尻)
下眼瞼、眉下切開
下眼瞼、眉下切開、目頭切開
下眼瞼、眉下切開(脂肪除去)
下眼瞼、眉毛挙上術
下眼瞼、眼瞼内反、外眥固定術
下眼瞼、脂肪移植(前頬)
下眼瞼、脂肪移植(目の下)
下眼瞼、額挙上(糸固定)
下眼瞼+上眼瞼
下眼瞼+二重切開(再)
下眼瞼+目の下の脂肪除去
下眼瞼+目の下の脂肪除去+再配置
下眼瞼+眉下切開
下眼瞼再手術
下眼瞼再手術、眉下リフト
下眼瞼再手術、眉下切開、脂肪移植(目の下)
下眼瞼再手術、脂肪移植(前頬、ほうれい線)、部分切開リフト
下眼瞼挙上+眉下挙上
下眼瞼整形
下眼瞼整形、眉下切開
下眼瞼脂肪除去
下顎 / 前歯部 / 3本以下 / 骨移植
下顎 / 前歯部 / 4本以上 / 骨移植
下顎 / 臼歯部 / 3本以下 / 骨移植
下顎 / 臼歯部 / 4本以上 / 骨移植
下顎/全体 / 骨移植|睡眠
下顎/全体 / 骨移植|睡眠|糖尿病
下顎/全体 / 骨移植|睡眠|高血圧
下顎/全体 / 骨移植|高血圧
下顎/全体/骨移植
下顎/前歯部 / 3本以下 / 骨移植|アスピリン
下顎/前歯部 / 3本以下 / 骨移植|睡眠
下顎/前歯部 / 3本以下 / 骨移植|睡眠|糖尿病
下顎/前歯部 / 3本以下 / 骨移植|睡眠|高血圧
下顎/前歯部 / 3本以下 / 骨移植|高血圧
下顎/前歯部 / 4本以上 / 骨移植|睡眠
下顎/前歯部 / 4本以上 / 骨移植|睡眠|高血圧
下顎/前歯部 / 4本以上 / 骨移植|睡眠|高血圧|糖尿病
下顎/前歯部 / 4本以上 / 骨移植|睡眠|高血圧|糖尿病|アスピリン
下顎/前歯部 / 4本以上 / 高血圧
下顎/前歯部分 / 3本以下 / 骨移植|睡眠|高血圧|糖尿病
下顎/奥歯部位 / 4本以上 / 骨移植|静脈内鎮静|高血圧|糖尿病
下顎/奥歯部分 / 3本以下 / 骨移植|睡眠|高血圧|糖尿病|アスピリン
下顎/臼歯部 / 3本以下 / 骨移植 | 睡眠 | 高血圧
下顎/臼歯部 / 3本以下 / 骨移植|アスピリン
下顎/臼歯部 / 3本以下 / 骨移植|睡眠
下顎/臼歯部 / 3本以下 / 骨移植|睡眠|糖尿病
下顎/臼歯部 / 3本以下 / 骨移植|高血圧
下顎/臼歯部 / 3本以下 / 骨移植|高血圧|糖尿病
下顎/臼歯部 / 4本以上 / 骨移植|睡眠
下顎/臼歯部 / 4本以上 / 骨移植|睡眠|高血圧
下顎/臼歯部 / 4本以上 / 骨移植|睡眠麻酔|アスピリン
下顎/臼歯部 / 4本以上 / 骨移植|高血圧
中年目元整形
中顔面リフト
中顔面リフト+アキュスカルプ
中顔面リフト+アキュスカルプ+エラスティクム
中顔面リフト+アキュスカルプ+脂肪移植
中顔面リフト+エンドタイン
乳房吊り上げ術、乳房縮小術、乳輪縮小
乳房固定術、豊胸術
乳房挙上
乳房挙上術、豊胸術、副乳除去
二の腕脂肪吸引
二重(切開)
二重(切開)、目頭切開
二重(切開)、目頭切開、目尻切開、目下切開、鼻(鼻筋、鼻先)、小鼻縮小(切開)、エラ、頬骨、顎先、突出口、フルフェイス脂肪移植
二重(切開)、眉下切開
二重(切開)+目つき矯正
二重(切開)再手術
二重(切開)再手術、目の下の脂肪再配置
二重(切開)再手術、目頭切開再手術
二重(切開法_再手術)
二重(切開法)
二重(切開法)+目つき矯正
二重(切開法)+目つき矯正+目頭切開
二重(切開法)+目頭切開
二重(埋没)、目頭切開、目尻切開、たれ目形成
二重(埋没)再手術、額リフト(糸固定)、鼻(鼻筋、鼻先)、骨切り、鷲鼻、鼻フィラー溶解
二重(埋没法-右目)
二重(埋没法)
二重(埋没法)、下眼瞼
二重(埋没法)、目頭切開
二重(埋没法)、眉下切開、下眼瞼
二重(埋没法)、額挙上(糸固定)、下眼瞼
二重(埋没法)+目頭切開
二重(埋没法)+目頭切開+目の下の脂肪取り(TCA)
二重(埋没法)再手術
二重(埋没法)再手術、タレ目形成、目の下の脂肪取り
二重(埋没法)再手術、目頭切開
二重(自然癒着)
二重(自然癒着)、目頭切開
二重(部分切開)
二重(部分切開)、目の下の脂肪移植
二重(部分切開)、目頭切開
二重(部分切開)、額リフト(エンドタイン)
二重(部分切開)再手術
二重(部分切開)再手術、目頭切開
二重(部分切開)再手術、目頭切開再手術、目尻切開、たれ目形成
二重(部分切開法)
二重あごリフト、二重あご脂肪吸引
二重あご筋肉縛り
二重あご脂肪吸引
二重の取れ修正
二重修正(切開法+目つき矯正)
二重再手術(切開)
二重再手術(切開)+目つき矯正
二重再手術(切開法)+眼瞼下垂手術
二重再手術(埋没)
二重切開
二重切開 目上切開
二重切開、ウィットイム、目の下の脂肪再配置
二重切開、切開目つき矯正、目頭切開、タレ目形成
二重切開、目つき矯正
二重切開、目頭切開
二重切開、眉下切開、下眼瞼、脂肪注入(目の下)
二重切開、眉毛挙上術
二重切開(修正)、目つき矯正
二重切開(再)
二重切開(再)、目の上の脂肪移植
二重切開再手術、目頭切開復元、目上切開
二重切開法、目上切開
二重小鼻縮小
二重顎筋肉縛り + 顎フィラー
二重顎筋肉縛り+エピティコン(顎ライン)
二重顎筋肉縛り+顎先脂肪移植
二重顎脂肪吸引、二重顎筋肉縛り
二重顎脂肪吸引、前頬リフト
二重顎脂肪吸引、糸リフト
二重顎脂肪吸引、糸リフト、顎先プロテーゼ
二重顎脂肪吸引&筋肉縛り
人中短縮
僧帽筋ボトックス
全切開 + 目頭切開
全切開、目頭切開、目上切開
全切開、目頭切開、目尻切開、まぶたの脂肪取り
全切開(修正)、目つき矯正、目頭切開、目尻切開+垂れ目形成(下眼瞼下制)
全切開(修正)、目頭切開(上方向)
全切開(再手術)、目つき矯正、目尻切開
全顎 / 全体 / 骨移植
全顎/全体 / 4本以上 / 骨移植|睡眠
全顎/全体 / 睡眠|高血圧|糖尿病
全顎/全体 / 骨移植|睡眠
全顎/全体 / 骨移植|睡眠|糖尿病
全顎/全体 / 骨移植|睡眠|糖尿病|アスピリン
全顎/全体 / 骨移植|睡眠|高血圧
全顎/全体 / 骨移植|睡眠|高血圧|糖尿病
内視鏡額リフト
切らないほうれい線リフト
切らない眼瞼下垂
切らない眼瞼下垂修正
切らない眼瞼下垂修正、ウィットイム
切らない眼瞼下垂修正+たれ目形成+目尻切開
切開
切開、2種トゥイム(目尻切開、タレ目形成)
切開、2種トゥイム(目頭切開、目上切開)
切開、3種トゥイム(目頭切開、目上切開、タレ目形成)、眼瞼内反...
切開、ウィットイム
切開、目つき矯正
切開、目つき矯正、2点切開(目頭切開、目上切開)、ROOF脂肪除去...
切開、目つき矯正、2種トゥイム(目頭切開、目上切開)
切開、目つき矯正、2種トゥイム(目頭切開、目上切開)、鼻、シリコン、鼻先(鼻中隔軟骨)、小鼻縮小、軟骨縛り...
切開、目つき矯正、2種切開(目尻切開、タレ目形成)、目の下の脂肪再配置...
切開、目つき矯正、2種切開(目頭切開、目上切開)、目の下の脂肪再配置、ROOF脂肪除去...
切開、目つき矯正、3種切開(目頭切開、目尻切開、垂れ目形成)、ROOF脂肪除去...
切開、目つき矯正、3種切開(目頭切開、目尻切開、目下切開)...
切開、目つき矯正、4種トゥイム(目頭切開、目上切開、目尻切開、タレ目形成)...
切開、目つき矯正、4種切開(目頭切開、目上切開、目尻切開、タレ目形成)、ROOF脂肪除去...
切開、目つき矯正、ROOF脂肪除去
切開、目つき矯正、ウィットイム
切開、目つき矯正、ウィットイム、ROOF脂肪除去
切開、目つき矯正、上眼瞼、眼窩脂肪再配置
切開、目つき矯正、目の下の脂肪再配置
切開、目つき矯正、目の下の脂肪再配置、目尻切開
切開、目つき矯正、目頭・目尻切開、鼻、3Dプロテーゼ、鼻先(鼻中隔軟骨)、鷲鼻矯正...
切開、目つき矯正、目頭切開
切開、目つき矯正、目頭切開、下眼瞼下制
切開、目つき矯正、目頭切開、眼瞼内反
切開、目つき矯正、眼瞼内反
切開、目つき矯正、眼窩脂肪再配置、目の下の脂肪再配置...
切開、目の下の脂肪再配置、ROOF脂肪除去
切開、目頭切開
切開、目頭切開、ROOF切除
切開、目頭切開、ROOF切除、外側固定術
切開、目頭切開、眼窩脂肪再配置
切開、目頭切開、鼻、シリコン、鼻尖(鼻中隔)
切開、眼瞼下垂
切開、眼瞼下垂、目頭切開
切開、眼瞼下垂、目頭切開、ROOF脂肪除去
切開(3回、切除)、目つき矯正、ROOF脂肪除去、ライン下げ…
切開(二線法、再手術4回)、眼瞼退縮術(過矯正修正)、ライン下げ...
切開(二重修正、2回)、目つき矯正、目頭切開、眼瞼内反、ライン下げ...
切開(二重修正、再手術)、眼瞼下垂修正、二重幅を狭くする
切開(二重修正)、眼瞼下垂(目つき矯正)、目頭切開復元
切開(二重幅を狭める修正)、二重幅を狭める
切開(再)+下眼瞼
切開(再手術、二線法)、目つき矯正、ライン下げ
切開(再手術)
切開(再手術)、ライン下げ
切開(再手術)、目つき矯正
切開(再手術)、目つき矯正、2種トゥイム(目尻切開、タレ目形成)...
切開(再手術)、目つき矯正、2種トゥイム(目頭切開、上切開)...
切開(再手術)、目つき矯正、目尻切開
切開(再手術)、目つき矯正、目頭切開
切開(再手術)、目つき矯正、目頭切開(再手術)
切開(再手術)、目つき矯正、眼瞼内反、ROOF脂肪除去...
切開(再手術)、目つき矯正、眼窩脂肪再配置
切開(再手術)、眼瞼下垂(目つき矯正)、目頭切開、ROOF脂肪除去
切開(再手術)、眼瞼下垂矯正、目頭切開、眼瞼内反、ROOF脂肪除去...
切開(再手術)、眼窩脂肪再配置
切開(再手術)+目つき矯正
切開(再手術3回)、ライン下げ
切開(再手術3回)、目つき矯正、2種切開(目尻切開、タレ目形成)、目の下の脂肪再配置...
切開(再手術3回)、目つき矯正、目の下の脂肪再配置、ROOF脂肪除去...
切開(再手術3回)、目つき矯正、目尻切開、目の下の脂肪再配置…
切開(再手術3回)、目つき矯正、目頭切開復元
切開(再手術5回)、目つき矯正、目頭切開、眼窩脂肪再配置…
切開(切除、3回)、ライン下げ
切開(切除、3回)、眼瞼下垂修正、復元、二重幅修正...
切開(切除、4回)、目つき矯正、目尻切開復元、たれ目形成(再手術)...
切開(切除、再手術)、目つき矯正、ライン下げ
切開(切除、再手術)、目つき矯正、目頭切開復元、2種切開(目尻切開、垂れ目形成)、ライン下げ...
切開(切除、再手術)+目頭切開+幅狭め
切開(切除、再手術3回)、目つき矯正、ライン下げ
切開(切除、再手術4回)、目つき矯正、2種トゥイム(目頭切開、目下切開)、ライン下げ...
切開(切除)、目つき矯正、GLアンダートゥイム(目尻切開、タレ目形成)...
切開(切除)、目つき矯正、ROOF脂肪除去、ライン下げ...
切開(切除)、目つき矯正、ウィットイム、ライン下げ
切開(切除)、目つき矯正、ライン下げ
切開(切除)、目つき矯正、目頭切開(再手術)、ライン下げ...
切開(目つき矯正)、目頭切開
切開Vリフト
切開Vリフト (SMAS) + ミニリフト (SMAS) + アキュスカルプ (顎ライン)
切開Vリフト (SMAS) + ミントスレッドリフト
切開Vリフト+アキュスカルプ
切開Vリフト+アキュリフト
切開リフト+ほうれい線脂肪移植+アキュスカルプ(バッカルファット)
切開二重 目頭切開 目上切開
切開二重修正(ライン下げ)
切開再手術
切開再手術、ウィットイム、目の下の脂肪再配置
切開再手術、ウィットイム再手術
切開再手術、ライン下げ
切開再手術、目の下の脂肪再配置
切開再手術、目の下の脂肪再配置、眉毛挙上術
切開再手術、眉毛挙上術
切開式小鼻縮小
切開法二重
切開法二重 ウィットイム
切開法二重・ウィットイム
切開法二重、45度目頭切開
切開法二重、45度目頭切開、まぶたの脂肪除去
切開法二重、ウィットイム
切開法二重、まぶたの脂肪取り
切開法二重、切開法目つき矯正
切開法二重、切開目つき矯正、目頭切開、目尻切開、たれ目形成
切開法二重、切開眼瞼下垂、目尻切開、目下切開
切開法二重、目つき矯正、45度目頭・目上切開
切開法二重、目つき矯正、目の下の脂肪再配置
切開法二重、目つき矯正、目頭切開、まぶたの脂肪取り
切開法二重、目つき矯正、目頭切開、目上切開
切開法二重、目つき矯正、目頭切開復元
切開法二重、目の下の脂肪再配置
切開法二重、目頭切開、目尻切開、目下切開
切開法二重、眼瞼下垂
切開法二重、眼瞼下垂、上眼瞼眼瞼下垂
切開法二重(ハム目修正)
切開法二重(修正_幅狭め、二段切開)
切開法二重(修正・ライン下げ)、目つき矯正
切開法二重(修正:左右差、ハム目)
切開法二重(再手術)、目つき矯正、上まぶたの脂肪移植
切開法二重修正、ラインを低くする
切開法二重修正、幅狭め、タレ目形成
切開法二重修正、目尻切開、垂れ目形成
切開法二重修正+目つき矯正+目頭切開
切開法二重再手術
切開法二重再手術(ライン下げ)
切開法二重術・目つき矯正、コーナー切開
切開法二重術、まぶたの脂肪取り
切開法二重術、上まぶたの脂肪移植
切開法二重術、切開眼瞼下垂、目頭切開
切開法二重術、目つき矯正、45度目頭切開
切開法二重術、目つき矯正、まぶたの脂肪取り
切開法二重術、目頭切開、眉下切開
切開法二重術、眼瞼下垂手術(左右差の矯正)、目の下の脂肪再配置
切開法二重術(ハム目修正、左右差改善)
切開法二重術(修正・ライン下げ)、目つき矯正
切開法二重術(修正・ライン下げ)、目つき矯正、目の下の脂肪再配置
切開法二重術(修正・窪み目矯正)、目の上の脂肪移植、目つき矯正
切開法二重術(修正)、脂肪転位
切開法二重術(再_くぼみ目矯正)、眼瞼下垂術、目の上の脂肪移植
切開法二重術(再・左右差、ハム目修正)、目つき矯正
切開法二重術(再). 目つき矯正
切開法二重術(再手術・目の上のくぼみ修正)、目つき矯正、
切開法二重術(脂肪除去)、目つき矯正
切開法再手術、ウィットイム
切開法再手術、目頭切開(上方向)
切開法目つき矯正
切開法目つき矯正 眉毛挙上術
切開法目つき矯正、ウィットイム
切開法目つき矯正、目の下の脂肪再配置、額リフト
切開法目つき矯正、目頭切開、目上切開
切開法目つき矯正、目頭切開(上方向)、目尻切開、目下切開
切開法目つき矯正+目尻切開+たれ目形成
切開法目つき矯正再手術、二重ライン下げ、上まぶた脂肪移植、目の下の脂肪再配置、目の下の脂肪移植
切開法目つき矯正再手術、眉毛挙上術
切開法目つき矯正再手術+目頭切開再手術+目尻切開+たれ目形成
切開法眼つき矯正、目頭切開、目上切開、目の下の脂肪再配置
切開法眼瞼下垂 + 目の再手術
切開法眼瞼下垂 目頭切開 目上切開
切開法眼瞼下垂、目の下の脂肪再配置
切開法眼瞼下垂+目頭切開
切開法眼瞼下垂+目頭切開+鷲鼻修正+団子鼻修正
切開法眼瞼下垂修正、目頭+目上切開
切開法眼瞼下垂修正、目頭切開、目上切開
切開法眼瞼下垂修正再手術、ウィットイム、目頭切開復元
切開法眼瞼下垂修正再手術、下眼瞼下制術、上まぶたの脂肪移植
切開法眼瞼下垂修正再手術+ウィットイム
切開目つき矯正
切開目つき矯正、目尻切開、タレ目形成、眉毛挙上術
切開目つき矯正、眉毛挙上術
切開目つき矯正再手術
切開目つき矯正再手術、ウィットイム
切開目つき矯正再手術、ポップコーントゥイム
切開目つき矯正再手術、まぶたの脂肪移植
切開目つき矯正再手術、ライン下げ
切開目つき矯正再手術、ライン下げ、目頭切開復元
切開目つき矯正再手術、二重ライン下げ、目頭切開、目上切開
切開目つき矯正再手術、目頭切開
切開目つき矯正再手術+ウィットイム+グラマラスライン形成+目尻切開再手術
切開目つき矯正再手術+ウィットイム+目尻切開+目下切開
切開目つき矯正再手術+目頭切開
切開眼つき矯正再手術+目尻切開再手術+垂れ目形成再手術
切開眼瞼下垂修正再手術+目尻切開+たれ目形成
初めての鼻整形
前頬・ほうれい線の脂肪移植、額のボトックス
前頬の脂肪吸引、フェイスライン、二重顎の糸リフト
副乳脂肪吸引
口角フィラー
口角挙上
口角挙上+唇フィラー
唇の非対称矯正(フィラー+ボトックス)
唇ヒアルロン酸 + 口角ボトックス
唇フィラー
唇フィラー + 口角ボトックス
唇フィラー、人中短縮(内側、外側)、口角手術
唇フィラー、口角ボトックス
唾液腺ボトックス
団子鼻
団子鼻・短鼻整形
団子鼻、低い鼻
団子鼻、小鼻縮小、短い鼻
団子鼻、斜鼻
団子鼻、斜鼻、長い鼻、鼻柱修正
団子鼻、短い鼻
団子鼻、短い鼻、口ゴボ鼻、小鼻縮小
団子鼻、短い鼻、小鼻縮小
団子鼻、短い鼻、斜鼻、鼻唇角矯正
団子鼻、短い鼻、斜鼻、鼻柱修正
団子鼻、短い鼻、鷲鼻、鼻唇角矯正
団子鼻、短鼻、鼻柱修正、骨切り
団子鼻、長い鼻
団子鼻、長い鼻、ドラゴン鼻
団子鼻、長い鼻、鞍鼻、鼻唇角、鼻柱矯正
団子鼻、長い鼻、鷲鼻
団子鼻、長い鼻、鷲鼻、斜鼻
団子鼻、長い鼻、鼻唇角矯正
団子鼻、長い鼻、鼻唇角矯正、鷲鼻
団子鼻、骨切り、わし鼻、鼻唇角形成
団子鼻、鷲鼻
団子鼻、鷲鼻、斜鼻、長い鼻
団子鼻、鷲鼻、斜鼻、鼻唇角形成
団子鼻、鷲鼻、斜鼻、鼻唇角矯正
団子鼻、鷲鼻、長い鼻
団子鼻、鷲鼻、長い鼻、鼻柱矯正、鼻唇角矯正
団子鼻、鷲鼻、長い鼻整形
団子鼻、鷲鼻、骨切り
団子鼻、鷲鼻、骨切り、鼻柱矯正
団子鼻、鷲鼻、鼻先の下がり、骨切り、鼻唇角、鼻柱矯正
団子鼻、鷲鼻、鼻柱矯正、ピーチリフト、口角フィラー
団子鼻、鷲鼻、龍鼻
団子鼻、鼻唇角矯正、骨切り、鷲鼻
団子鼻、龍鼻、鼻唇角矯正
団子鼻修正
団子鼻整形
団子鼻矯正+短い鼻の矯正+鼻炎・美容鼻
垂れ目形成(再手術)、目の下の脂肪再配置
垂直ミニリフト
垂直ミニリフト+アキュリフト+ミント糸リフト
垂直ミニリフト+エラスティカム
埋没
埋没、3種トゥイム(目頭切開、目尻切開、タレ目形成)、目の下の脂肪再配置...
埋没、4種切開(目頭切開、目上切開、目尻切開、タレ目形成)、眼瞼内反...
埋没、GLアンダートイム(目尻切開、たれ目形成)、目の下の脂肪再配置...
埋没、ROOF脂肪除去
埋没、上切開
埋没、目つき矯正
埋没、目つき矯正、ROOF脂肪除去
埋没、目つき矯正、左目頭切開
埋没、目つき矯正、目上切開、ROOF脂肪除去
埋没、目つき矯正、目頭切開
埋没、目つき矯正、目頭切開、眼瞼内反、ROOF脂肪除去...
埋没、目つき矯正、目頭切開軸矯正
埋没、目つき矯正、眼瞼内反、切開延長、ROOF脂肪除去...
埋没、目頭切開
埋没、目頭切開、鼻、シリコン、鼻尖(鼻中隔)、斜鼻修正...
埋没、目頭切開(軸矯正)
埋没、脂肪移植(前頬)
埋没(再手術)、目つき矯正、タレ目形成、目尻切開復元
埋没(再手術)、目つき矯正、目頭切開(上方向)
埋没(再手術)、目上切開
埋没+目頭切開+目尻切開+タレ目形成
埋没+目頭切開+目尻切開+目下切開
埋没+眉下切開+下眼瞼
埋没法 + 目頭切開
埋没法、GLアンダートゥイム(目尻切開、タレ目形成)
埋没法、目つき矯正、2種切開(目頭切開、目つき矯正)
埋没法、目つき矯正、2種切開(目頭切開、目上切開)
埋没法、目つき矯正、2種切開(目頭切開、目上切開)、ROOF脂肪除去...
埋没法、目つき矯正、3点切開(目頭切開、目尻切開、タレ目形成)...
埋没法、目つき矯正、目頭切開
埋没法、目頭切開、非切開眼瞼下垂
埋没法(再手術)、目つき矯正
埋没法(再手術)、目つき矯正、ROOF脂肪除去
埋没法(再手術)、目頭切開、目の下の脂肪再配置、ROOF脂肪除去...
埋没法(目つき矯正)、目頭切開
埋没法+ウィットイム+目尻切開・タレ目形成
埋没法+下眼瞼
埋没法+目尻切開+たれ目形成
埋没法+目頭切開
埋没法+目頭切開+目尻切開+タレ目形成
埋没法+眉下切開
埋没法再手術+目上切開+目尻切開+タレ目形成
基本の鼻(鼻筋+鼻先)
基本鼻整形
基本鼻整形+短鼻修正+団子鼻矯正+小鼻縮小
基本鼻整形+鷲鼻+団子鼻整形
太もも整形
太もも脂肪吸引
女性ヘアライン 1000本 / 2週間後
女性ヘアライン 1500本 / 2週間後
女性ヘアライン 2000毛 / 2週間後
女性ヘアライン 2500本 / 1ヶ月後
女性ヘアライン 2500本 / 2週間後
女性ヘアライン 3000本 / 2週間後
女性ヘアライン 3000毛 / 1ヶ月後
女性ヘアライン 非切開 2000本
女性ヘアライン切開1500本
女性ヘアライン切開2500毛
女性ヘアライン切開3000毛
女性化乳房
女性化乳房 乳頭縮小
女性自毛植毛 FUE 2000本
女性自毛植毛 切開 3000本
女性自毛植毛 切開法 1000本
女性自毛植毛 切開法 1500本
女性自毛植毛 切開法 2000本
女性自毛植毛 切開法 2500本
女性自毛植毛 非切開 3000本
女性自毛植毛 非切開 3500本
寄贈肋軟骨、団子鼻、下鼻甲介、骨切り
小鼻縮小
小鼻縮小、小鼻挙上
小鼻縮小再手術
左右差矯正 + ウィットイム + 二重切開再手術
拘縮鼻整形(鼻筋真皮移植)
整形手術
斜鼻、機能性鼻整形、小鼻縮小
斜鼻修正、鷲鼻、隆鼻術(鼻筋+鼻先)
施術前/後
最小切開SMASリフト
最小切開フェイスリフト(マックスリフト)
機能鼻整形
機能鼻整形、団子鼻、鷲鼻、長い鼻
涙袋フィラー
無プロテーゼ、機能鼻整形、団子鼻、鷲鼻、長い鼻
無プロテーゼ、鼻先(鼻中隔軟骨、耳介軟骨)、小鼻縮小、鼻孔縁下げ…
無プロテーゼ鼻先整形、団子鼻、短い鼻
無プロテーゼ鼻尖形成、短鼻、斜鼻
無プロテーゼ鼻整形
無プロテーゼ鼻整形、団子鼻、鷲鼻、小鼻縮小
無プロテーゼ鼻整形、団子鼻、鷲鼻、斜鼻
無プロテーゼ鼻整形、団子鼻、鷲鼻、長い鼻
無プロテーゼ鼻整形、団子鼻、鷲鼻、長い鼻、鼻唇角
無プロテーゼ鼻整形、団子鼻矯正、小鼻縮小
無プロテーゼ鼻整形、団子鼻矯正、小鼻縮小、広鼻矯正、骨切り
無プロテーゼ鼻整形、団子鼻矯正、広鼻矯正(骨切り)
無プロテーゼ鼻整形、団子鼻矯正、鷲鼻矯正
無プロテーゼ鼻整形、団子鼻矯正、鷲鼻矯正、機能的鼻整形
無プロテーゼ鼻整形、小鼻縮小
無プロテーゼ鼻整形、広鼻修正(骨切り術)
無プロテーゼ鼻整形、広鼻矯正
無プロテーゼ鼻整形、広鼻矯正(骨切り)
無プロテーゼ鼻整形、短い鼻の矯正、団子鼻矯正
無プロテーゼ鼻整形、鷲鼻、長い鼻、龍鼻
無プロテーゼ鼻整形、鷲鼻矯正
無プロテーゼ鼻整形、鷲鼻矯正、短い鼻の矯正
無プロテーゼ鼻整形、鷲鼻矯正、鼻柱矯正、小鼻縮小、小鼻挙上
無プロテーゼ鼻整形、鷲鼻矯正、鼻骨切骨術
無プロテーゼ鼻整形、鼻骨骨切り、小鼻縮小
無プロテーゼ鼻整形(団子鼻、斜鼻、鷲鼻、小鼻縮小)
無プロテーゼ鼻整形(団子鼻、長い鼻、鷲鼻、斜鼻、自家肋軟骨)
無プロテーゼ鼻整形(団子鼻、鷲鼻、長い鼻)
男性の二重幅を狭くする
男性ヘアライン 1500本 / 2週間後
男性ヘアライン 2000本 / 1ヶ月後
男性ヘアライン 2500本 / 1ヶ月後
男性ヘアライン 2500本 / 2週間後
男性ヘアライン 3000本 / 2週間後
男性ヘアライン 3000毛 / 1ヶ月後
男性ヘアライン 3500毛 / 2週間後
男性ヘアライン 非切開 2000本
男性ヘアライン 非切開 2500本
男性ヘアライン・頭頂部 2500毛 / 2週間後
男性ヘアライン非切開
男性両顎手術 スマイル両顎+シェイピング輪郭整形
男性両顎手術 スマイル両顎手術
男性両顎手術 スマイル両顎手術+ターニング頬骨縮小+男性鼻整形+額整形
男性両顎手術+男性目整形
男性切開二重
男性女性化乳房
男性女性化乳房 副乳
男性女性化乳房 副乳 乳頭縮小
男性女性化乳房 副乳 脇の脂肪吸引
男性女性化乳房・副乳・側胸部の脂肪吸引
男性整形
男性植毛 切開法 2500本
男性目元整形 埋没法+目つき矯正
男性目元整形 眉下切開
男性目整形 切開法+目つき矯正
男性目整形 切開目つき矯正再手術+目頭切開
男性突出口矯正+頬骨縮小+顎先手術+男性目整形
男性自毛植毛 FUE 1500本
男性自毛植毛 FUE 3000本
男性自毛植毛 切開法 2000本
男性自毛植毛 切開法 3000本
男性自毛植毛 非切開 2500本
男性自毛植毛 非切開 3000本_頭頂部
男性自毛植毛 非切開、ラインカット 3500本
男性輪郭 アキュスカルプ+エラボトックス
男性輪郭 シェイピング輪郭+アキュスカルプ
男性輪郭 シェイピング輪郭+男性鼻整形
男性輪郭 シェイピング輪郭+目整形+鼻整形+額整形
男性輪郭 シェイピング輪郭整形+ターニング頬骨縮小
男性輪郭 輪郭2点[シェイピングVライン+顎先延長]
男性輪郭+シェイピング輪郭[エラ+頬骨]
男性輪郭3点+男性目整形
男性輪郭整形
男性輪郭整形 エラ削り+顎先整形
男性輪郭整形 シェイピング輪郭整形[エラ+頬骨]
男性輪郭整形 シェイピング輪郭整形[輪郭3点]
男性輪郭整形 シェイピング輪郭整形[顎先]
男性輪郭整形 シェイピング輪郭整形[顎先+V字骨切り]
男性輪郭整形 シェイピング輪郭整形+オトガイ前進術
男性輪郭整形 シェイピング輪郭整形+目整形
男性輪郭整形 シェイピング輪郭整形+顎先
男性輪郭整形 長い曲線エラ削り+顎先整形
男性輪郭整形 頬骨縮小+エラ縮小+顎先縮小
男性輪郭整形 顎前進術
男性顔面輪郭 輪郭3点
男性顔面輪郭 長い曲線エラ削り+ターニング頬骨縮小
男性顔面輪郭 長曲線エラ削り+顎先前進術+エラスティクム+アキュスカルプ
男性顔面輪郭 長曲線エラ削り手術
男性顔面輪郭 頬骨
男性顔面輪郭 頬骨+アキュリフト+鼻再手術+短い鼻+ボトックス
男性鼻整形
男性鼻整形 低い鼻
男性鼻整形 団子鼻+小鼻縮小
男性鼻整形 幅広い鼻筋
男性鼻整形 斜鼻修正 鼻尖形成
男性鼻整形 短い鼻
男性鼻整形 短い鼻+団子鼻
男性鼻整形 短い鼻+鼻再手術
男性鼻整形 骨切り 団子鼻 短い鼻
男性鼻整形 鷲鼻
男性鼻整形 鷲鼻骨切り
男性鼻整形 鼻尖形成術
男性鼻整形 鼻炎美容鼻 骨切り
目つき矯正
目つき矯正(切開)
目つき矯正(切開)、二重ライン幅狭め
目つき矯正(切開)、目尻切開
目つき矯正(切開)、目尻切開、垂れ目形成、鼻(鼻筋、鼻先)再手術、鼻骨縮小、小鼻縮小、エラ削り、頬骨、顎先、皮質骨切除、貴族手術(プロテーゼ)、フルフェイス脂肪移植、ヴィーナスレーザー(頬、顎下)
目つき矯正(切開)、目尻切開、目の下の脂肪再配置
目つき矯正(切開)、目尻切開、目下切開
目つき矯正(切開)、目尻切開、目下切開、目の下の脂肪再配置
目つき矯正(切開)、目頭切開
目つき矯正(切開)、目頭切開、目下切開、目尻切開
目つき矯正(切開)、目頭切開、目尻切開
目つき矯正(切開)、目頭切開、目尻切開、垂れ目形成、目の下の脂肪再配置、鼻(鼻筋、鼻先)、エラ、頬骨、顎先、両顎手術、突出口、フルフェイス脂肪移植、ヴィーナスレーザー(頬、顎下)
目つき矯正(切開)、目頭切開、目尻切開、目下切開
目つき矯正(切開)、目頭切開、額リフト(糸固定)
目つき矯正(切開)、目頭切開再手術、目尻切開、頬骨、エラ、顎先、脂肪移植、フルフェイス脂肪移植、ヴィーナスレーザー(顎下)
目つき矯正(切開)、目頭切開復元、目尻切開、タレ目形成
目つき矯正(切開)、額リフト(糸固定)
目つき矯正(切開)再手術、目尻切開、たれ目形成、鼻(鼻筋、鼻先)、鷲鼻、耳介軟骨、頬骨、フルフェイス脂肪移植
目つき矯正(切開)再手術、目尻切開、目下切開
目つき矯正(切開)再手術、目頭切開
目つき矯正(切開)再手術、目頭切開、目尻切開、鼻(鼻筋、鼻先)、小鼻縮小、頬骨、顎先、両顎、糸リフト、ヴィーナスレーザー(頬、顎下)、脂肪移植(前頬、額)、ボトックス(眉間、額)
目つき矯正(部分切開)
目つき矯正(部分切開)、目頭切開
目つき矯正(部分切開)、目頭切開、目の上の脂肪取り
目つき矯正(部分切開)、目頭切開、目尻切開、目下切開
目つき矯正(部分切開)、目頭切開、鼻(鼻筋、鼻先)、短鼻、寄贈肋軟骨
目つき矯正(部分切開)、脂肪除去、目頭切開
目つき矯正(部分切開)(脂肪除去)、目頭切開
目つき矯正(部分切開)再手術、鼻(鼻筋、鼻先)再手術、団子鼻、頬骨、脂肪移植(額、鼻)
目つき矯正(非切開)
目つき矯正(非切開)、たれ目形成、目尻切開
目つき矯正(非切開)、垂れ目形成
目つき矯正(非切開)、目の下の脂肪再配置
目つき矯正(非切開)、目の下の脂肪再配置、脂肪移植(目の下)
目つき矯正(非切開)、目尻切開
目つき矯正(非切開)、目尻切開、たれ目形成
目つき矯正(非切開)、目頭切開
目つき矯正(非切開)、目頭切開、斜鼻、骨切り
目つき矯正(非切開)、目頭切開、目の下の脂肪再配置
目つき矯正(非切開)、目頭切開、目尻切開
目つき矯正(非切開)、目頭切開、目尻切開、目下切開
目つき矯正(非切開)、目頭切開、鼻(鼻筋、鼻先)、鷲鼻、骨切り、エラ、頬骨、顎先
目つき矯正(非切開)、脂肪除去
目つき矯正(非切開)、額挙上(エンドタイン)
目つき矯正(非切開)、鼻(鼻筋、鼻先)再手術、ヴィーナスレーザー
目の上の脂肪移植、目尻切開・垂れ目形成
目の上の脂肪移植(再・くぼみ目矯正)
目の下の脂肪再配置
目の下の脂肪再配置 再手術
目の下の脂肪再配置 目の下の脂肪移植
目の下の脂肪再配置 自然癒着
目の下の脂肪再配置、エラ、頬骨、顎先、皮質骨切除、ヴィーナスレーザー
目の下の脂肪再配置、デュアル下眼瞼
目の下の脂肪再配置、デュアル下眼瞼、前頬の脂肪移植
目の下の脂肪再配置、デュアル下眼瞼、前頬の脂肪移植、目の上の脂肪移植
目の下の脂肪再配置、二重切開、眉下リフト
目の下の脂肪再配置、前頬の脂肪注入
目の下の脂肪再配置、前頬の脂肪移植
目の下の脂肪再配置、前頬の脂肪移植、ミニ下眼瞼
目の下の脂肪再配置、目の下の脂肪移植
目の下の脂肪再配置、目頭切開復元
目の下の脂肪再配置、眉下切開
目の下の脂肪再配置、脂肪移植
目の下の脂肪再配置、脂肪移植(前頬、ほうれい線)
目の下の脂肪再配置、脂肪移植(目の下、前頬)
目の下の脂肪再配置、脂肪移植(目の下)
目の下の脂肪再配置、自然癒着、ウィットイム、
目の下の脂肪再配置、非切開目つき矯正
目の下の脂肪再配置、頬骨縮小術、顎先縮小術、皮質骨切除術
目の下の脂肪再配置、顔の脂肪注入(フルフェイス)
目の下の脂肪再配置の再手術、前頬の脂肪移植
目の下の脂肪取り
目の下の脂肪取り、デュアル下眼瞼、前頬の脂肪移植、まぶたの脂肪移植
目の下の脂肪移植
目の下の脂肪除去(TCA)
目の下の脂肪除去(TCA)+目の下の脂肪再配置
目の再手術 + 切開法 + 目尻切開 + 目下切開
目の再手術 + 埋没 + 目尻切開
目の再手術 二重切開、目尻切開
目の再手術 切開二重
目の再手術 切開法二重、デュアル切開
目の再手術 目つき矯正
目の再手術 目つき矯正 切開
目の再手術 自然癒着二重
目の再手術、タレ目形成
目の再手術、上眼瞼
目の再手術、二重切開、切開法目つき矯正
目の再手術、二重切開、切開法目つき矯正、目頭切開、目尻切開、垂れ目形成
目の再手術、二重切開、目尻切開、目頭切開、垂れ目形成
目の再手術、二重切開、目頭切開(上方向)
目の再手術、切開二重
目の再手術、切開二重、切開目つき矯正
目の再手術、切開二重、切開目つき矯正、目頭切開
目の再手術、切開法二重術、切開目つき矯正、目尻切開、目下切開
目の再手術、目尻切開、タレ目形成
目の再手術、自然癒着
目の再手術、自然癒着二重
目の再手術、自然癒着二重術、非切開目つき矯正、目頭切開復元
目の再手術(二重切開)、目の下の脂肪再配置
目の再手術(切開法二重術)、眼瞼下垂矯正、タレ目形成、上まぶた脂肪移植、目の下の脂肪移植、目の下の脂肪再配置
目の再手術(目尻切開復元)
目の再手術(自然癒着)
目の整形
目の整形[下眼瞼プラス+外眼角固定術]
目の整形+下眼瞼手術
目再手術 自然癒着 目頭切開 目下切開
目再手術、切開二重
目再手術(切開法)、ライン下げ、目尻切開、たれ目形成
目尻切開
目尻切開 + 垂れ目形成
目尻切開、タレ目形成
目尻切開、目頭切開
目尻切開+たれ目形成
目尻切開復元
目尻切開復元、目頭切開(再手術)
目整形[自然癒着]
目整形+上眼瞼
目整形+上眼瞼手術
目整形+下眼瞼
目整形+目の下の脂肪除去
目頭切開
目頭切開,二重切開,目つき矯正,目尻切開,タレ目形成
目頭切開、上眼瞼手術、下眼瞼手術、目の下の脂肪再配置、外眼角形成術...
目頭切開、目尻切開再手術、たれ目形成
目頭切開、自然癒着法二重術
目頭切開、非切開目つき矯正、自然癒着法二重術
目頭切開、額挙上(糸固定)
目頭切開再手術
目頭切開復元
目頭切開復元、目尻切開復元
目頭切開復元、眼瞼内反
眉下リフト
眉下リフト、下眼瞼、額リフト(糸固定)、ボトックス(額、目尻)
眉下切開
眉下切開、デュアル下眼瞼、目の下の脂肪移植
眉下切開、上眼瞼、下眼瞼、脂肪移植(目の下、頬前面)
眉下切開、下眼瞼、自然癒着法目つき矯正再手術
眉下切開、目の下の脂肪再配置
眉下切開、目の下の脂肪再配置、額リフト
眉下切開、眼瞼下垂修正(非切開)、目の下の脂肪再配置
眉下切開、脂肪移植(目の下)
眉下切開、自然癒着、まぶたの脂肪取り
眉下切開、額リフト、目の下の脂肪再配置
眉下切開、額リフト、自然癒着
眉下切開+下眼瞼
眉下切開+埋没法
眉下切開+目の下脂肪再配置
眉下切開術
眉毛挙上
眉毛挙上術
眉毛挙上術、上まぶたの脂肪注入
眉毛挙上術、中顔面リフト
真皮固定二重、眉下切開
真皮癒着、コーナー切開
真皮癒着二重
真皮癒着二重、45度目頭・目上切開
真皮癒着二重、ウィットイム
真皮癒着二重、コーナー切開
真皮癒着二重、目つき矯正
真皮癒着二重、目つき矯正、45度目頭切開
真皮癒着二重、目つき矯正、コーナー切開
真皮癒着二重、目つき矯正、上まぶたの脂肪移植、目の下の脂肪再配置
真皮癒着二重、目つき矯正、左右差矯正
真皮癒着二重、目つき矯正、目頭切開
真皮癒着二重、目つき矯正、目頭切開、コーナー切開、目の下の脂肪再配置、鷲鼻、短い鼻、骨切り
真皮癒着二重、目つき矯正、目頭切開、目上切開
真皮癒着二重、目つき矯正、目頭切開、目尻切開、目下切開、団子鼻、短い鼻、骨切り、鼻柱矯正
真皮癒着二重、目頭切開
真皮癒着二重、目頭切開、目上切開
真皮癒着二重(再・戻り修正)
真皮癒着二重(再)
真皮癒着二重(再)、目つき矯正
真皮癒着二重(再)、目尻切開・垂れ目形成
真皮癒着二重(再)、目頭切開
真皮癒着二重術、コーナー切開、目つき矯正
真皮癒着二重術、目つき矯正、45度目頭・目上切開、コーナー切開
真皮癒着二重術、目つき矯正、上まぶたの脂肪移植
真皮癒着二重術、目つき矯正、目頭切開、目の下の脂肪再配置、鷲鼻、長い鼻、鼻唇角矯正、ピーチリフティング、顔の脂肪移植
真皮癒着二重術、目つき矯正、目頭切開、目の下の脂肪再配置、鷲鼻、長い鼻整形、回転頬骨縮小術、フルフェイス脂肪移植、ピーチリフティング
真皮癒着二重術(再)、コーナー切開
真皮癒着二重術(再)、目つき矯正、目頭・目上切開
真皮癒着法二重、目つき矯正、目の上の脂肪移植
真皮癒着法二重、眉下リフト、下眼瞼
真皮癒着法二重(再)、目頭切開、目の下の脂肪再配置
真皮癒着法二重術、眉下切開、下眼瞼整形
眼つき矯正(切開)再手術
眼つき矯正(非切開)再手術
眼瞼内反
眼瞼退縮術(過矯正修正)、上眼瞼、下眼瞼
短い鼻、上向きの鼻、団子鼻
短い鼻、団子鼻、小鼻縮小
短い鼻、団子鼻、鷲鼻
短い鼻(再手術)、斜鼻
短鼻・団子鼻整形
短鼻、斜鼻
短鼻、機能鼻整形
短鼻、鼻唇角矯正、小鼻縮小
短鼻(再手術)、ピンチノーズ、斜鼻、鼻柱矯正
短鼻(再手術)、斜鼻、鼻柱矯正、小鼻縮小
短鼻矯正+団子鼻矯正
矯正なしスマイル自撮り 両顎+輪郭3点+非切開目つき矯正+鼻整形+ミニリフト
突出口鼻、機能鼻整形、団子鼻、斜鼻、長い鼻、龍鼻
窪み目矯正(上まぶたの脂肪注入)
童顔&リフトアップ
糸リフト
糸リフト、鼻リフト
美容整形
美白治療
肩フィラー
肩フィラー(+僧帽筋ボトックス)
胸、腹部脂肪吸引
胸の縮小、胸の拡大
胸の脂肪注入
胸部縮小
脂肪(脂肪吸引-顎下)
脂肪吸引
脂肪吸引(バッカルファット)
脂肪吸引(バッカルファット)、フェイスリフト
脂肪吸引(二の腕)
脂肪整形
脂肪移植
脂肪移植(目の上)
脂肪移植(額、ほうれい線、前頬)
脂肪移植(額、前頬、顎)
脂肪移植(額)
脂肪移植+輪郭注射
腕の整形
腕の脂肪吸引
腹部整形
腹部脂肪吸引
腹部脂肪吸引、ラブハンドル脂肪吸引
自家肋軟骨 鼻再手術(斜鼻、短鼻、鼻柱陥没)
自家肋軟骨 鼻再手術(斜鼻、短鼻)
自家肋軟骨 鼻再手術(短い鼻、鼻柱矯正)
自家肋軟骨を用いた鼻の再手術(鞍鼻、斜鼻)
自家肋軟骨鼻再手術
自家肋軟骨鼻再手術(斜鼻、拘縮鼻)
自家肋軟骨鼻再手術(斜鼻、鼻柱矯正)
自家肋軟骨鼻再手術(斜鼻、鼻柱陥没)
自家肋軟骨鼻再手術(短鼻、突出口)
自家肋軟骨鼻再手術(鼻柱矯正)
自家肋軟骨鼻再手術(鼻柱陥没再建)
自家肋軟骨鼻整形、団子鼻、短い鼻、龍鼻
自家肋軟骨鼻整形、鷲鼻、突出口矯正
自家肋軟骨鼻整形(再手術)、団子鼻、斜鼻、長い鼻
自家肋軟骨鼻整形(再手術)、団子鼻、鞍鼻、鼻唇角矯正
自家肋軟骨鼻整形(再手術)、斜鼻、鼻唇角矯正
自家肋軟骨鼻整形(再手術)、斜鼻修正、鼻柱矯正
自家肋軟骨鼻整形(再手術)、短い鼻、団子鼻、鼻柱矯正
自家肋軟骨鼻整形(再手術)、短い鼻、斜鼻、鼻柱矯正
自家肋軟骨鼻整形(再手術)、短い鼻、鼻柱矯正
自家肋軟骨鼻整形(再手術)、短鼻、鼻唇角矯正
自家肋軟骨鼻整形(再手術)、鼻柱矯正
自家肋軟骨鼻整形(団子鼻、短い鼻)
自然癒着
自然癒着 ウィットイム 目の下の脂肪再配置
自然癒着 ウィットイム 目尻切開・タレ目形成 目の下の脂肪再配置 鼻整形
自然癒着 目尻切開・タレ目形成 額挙上
自然癒着 目頭切開 目上切開
自然癒着 目頭切開 目上切開 額挙上
自然癒着 眉下リフト ウィットイム
自然癒着,目の下の脂肪再配置,眉毛挙上術
自然癒着、ウィットイム
自然癒着、ウィットイム、ジュニア額挙上
自然癒着、ウィットイム、まぶたの脂肪移植
自然癒着、ウィットイム、目の下の脂肪再配置
自然癒着、ウィットイム、目の下の脂肪再配置、前頬の脂肪移植
自然癒着、ウィットイム、目の下の脂肪除去、脂肪移植
自然癒着、ウィットイム、目尻切開、タレ目形成
自然癒着、ウィットイム、目頭切開
自然癒着、ウィットイム、眉毛挙上
自然癒着、ジュニア額挙上
自然癒着、目つき矯正
自然癒着、目つき矯正、ブリングアイ
自然癒着、目つき矯正、目の下の脂肪再配置
自然癒着、目つき矯正、目頭切開
自然癒着、目つき矯正、目頭切開、上まぶたの脂肪移植
自然癒着、目つき矯正、目頭切開、目上切開
自然癒着、目つき矯正、眉下切開(または眉毛挙上術)
自然癒着、目の下の脂肪再配置
自然癒着、目の下の脂肪再配置、まぶたの脂肪移植、目の下の脂肪移植
自然癒着、目頭切開
自然癒着、目頭切開、上まぶたの脂肪移植、目の下の脂肪再配置
自然癒着、目頭切開、目上切開
自然癒着、目頭切開、目上切開、目尻切開、垂れ目形成
自然癒着、眉下リフト、目の下の脂肪再配置、前頬の脂肪移植
自然癒着、眉下リフト、目の下の脂肪除去、まぶたの脂肪移植、目の下の脂肪移植
自然癒着、眉下切開
自然癒着、眉下切開、上切開、目尻切開
自然癒着、眉下切開、目頭切開、目上切開
自然癒着、眉毛挙上
自然癒着、眉毛挙上術
自然癒着、脂肪除去、上切開
自然癒着、額挙上
自然癒着ウィットイム
自然癒着二重
自然癒着二重、目頭切開
自然癒着再手術
自然癒着再手術、ウィットイム
自然癒着再手術、ウィットイム、目尻切開、垂れ目形成
自然癒着再手術、ウィットイム、目尻切開、目下切開
自然癒着再手術、まぶたの脂肪移植
自然癒着再手術、ライン下げ
自然癒着再手術、上まぶたの脂肪移植
自然癒着再手術、目の下の脂肪再配置
自然癒着再手術、目尻切開、タレ目形成
自然癒着再手術、目頭切開再手術
自然癒着再手術(既存のラインを解く)
自然癒着法、ウィットイム、まぶたの脂肪取り
自然癒着法、目頭切開、目尻切開、垂れ目形成
自然癒着法、非切開目つき矯正
自然癒着法、非切開目つき矯正、ウィットイム
自然癒着法、非切開目つき矯正、目頭切開、目尻切開、目下切開
自然癒着法二重、目尻切開、タレ目形成
自然癒着法二重、目頭切開
自然癒着法二重術、非切開目つき矯正
自然癒着法二重術、非切開目つき矯正、目頭切開
自然癒着法二重術、非切開目つき矯正、目頭切開、目尻切開、目下切開
自然癒着法修正、目頭切開、目上切開
自然癒着法修正、目頭切開修正、目尻切開、タレ目形成
自然癒着法再手術、目頭切開
自然癒着法再手術、眉下リフト、上まぶたの脂肪移植
自然癒着法再手術、眉毛挙上術
自然癒着目つき矯正再手術、眉下切開、下眼瞼
自然癒着眉下リフト 目の上の脂肪移植
自然癒着眉毛挙上術
自然癒着眉毛挙上術 額挙上
豊胸
豊胸, 乳輪形成
豊胸、乳房挙上
豊胸。乳房挙上
豊胸(インプラント)
豊胸再手術+メンター豊胸
豊胸再手術+モティバ豊胸
豊胸手術
豊胸術
豊胸術(メンターエクストラ)(アンダーバスト切開)、ウルセラ、リジュランヒーラー、唇フィラー、リフティングボトックス
軟部組織輪郭術+フルミニリフト
軟部組織輪郭術+ミニリフト
輪郭2点+V字切骨
輪郭2点+ミニリフト
輪郭2点+鼻整形
輪郭3点
輪郭3点 (頬骨縮小+エラ削り+顎先形成) + 鼻整形
輪郭3点+(再)切開法目つき矯正+目尻切開+タレ目形成
輪郭3点+アキュリフト(顎ライン)
輪郭3点+バッカルファット除去
輪郭3点+フルミニリフト
輪郭3点+ミニリフト+ミント糸リフト
輪郭3点+目の下の脂肪取り+鼻整形
輪郭3点+目整形+アキュスカルプ
輪郭3点+目整形+鼻再手術
輪郭3点+目整形+鼻整形
輪郭3点+目整形+鼻整形+脂肪移植
輪郭3点+非切開目つき矯正
輪郭3点+非切開目つき矯正+額縮小
輪郭3点+鼻再手術+タレ目形成
輪郭3点+鼻再手術+フルフェイス脂肪移植
輪郭3点+鼻整形
輪郭3点+鼻筋+鼻先+団子鼻矯正
輪郭整形
輪郭整形、額の脂肪移植
輪郭整形、顔の脂肪吸引、糸リフト
輪郭注射
退縮手術
道化師
部分切開二重、目の下の脂肪再配置
長い曲線エラ削り
長鼻、団子鼻、鼻柱修正、骨切り、鷲鼻、小鼻縮小
開放型鼻整形、自家肋軟骨
陥没乳頭
隆鼻術
隆鼻術、小鼻縮小
隆鼻術、骨切り、鷲鼻矯正
隆鼻術、鷲鼻矯正、頬骨縮小術、エラ縮小術、顎先後退術
隆鼻術、鷲鼻矯正、骨切り、自家肋軟骨
隆鼻術(鼻筋)
隆鼻術(鼻筋+鼻先)
隆鼻術(鼻筋+鼻先)、短鼻手術
隆鼻術(鼻筋+鼻尖)、寄贈肋軟骨、斜鼻修正
非切開再手術+目の下の脂肪移植
非切開目つき矯正 目頭切開 目上切開
非切開目つき矯正 眉毛挙上術
非切開目つき矯正、ウィットイム
非切開目つき矯正、目の下の脂肪再配置
非切開目つき矯正、目の下の脂肪再配置、脂肪移植(目の下)
非切開目つき矯正、目頭・目尻切開、上まぶたの脂肪移植、目の下の脂肪再配置
非切開目つき矯正、目頭・目尻切開、目の下の脂肪再配置
非切開目つき矯正、目頭切開
非切開目つき矯正、目頭切開、目上切開
非切開目つき矯正、目頭切開、目上切開、目尻切開
非切開目つき矯正、眉下リフト、目の下の脂肪再配置、眼瞼内反
非切開目つき矯正、眉毛挙上、まぶたの脂肪取り
非切開目つき矯正+ダブルトイム+再手術
非切開目つき矯正+上切開+目尻切開+垂れ目形成
非切開目つき矯正+再手術+目頭切開
非切開目つき矯正+目尻切開+たれ目形成
非切開目つき矯正+目頭切開
非切開目つき矯正+目頭切開+目上切開+目尻切開+目下切開
非切開目つき矯正再手術
非切開目つき矯正再手術、ライン下げ、まぶたの脂肪移植
非切開目つき矯正再手術、目尻切開再手術、たれ目形成
非切開目つき矯正再手術、目頭切開再手術
非切開目つき矯正再手術、脂肪移植(上まぶた)
非切開目つき矯正再手術+目尻下げ+目尻切開再手術
非切開目つき矯正再手術+目頭切開
非切開眼つき矯正、ウィットイム、デュアル切開、目の下の脂肪再配置
非切開眼つき矯正、ライン下げ、目の上の脂肪移植
非切開眼瞼下垂修正 ウィットイム
非切開眼瞼下垂修正+目頭切開
非手術ほうれい線リフト (ジェンバー糸、ほうれい線フィラー)
非手術ほうれい線リフト(ジェンバー糸、ほうれい線フィラー)、額フィラー
非手術目の下整形
非手術鼻整形
非開放型鼻整形
頬骨、ヴィーナスレーザー
頬骨、エラ、顎先、皮質骨切り
頬骨+エラ
頬骨+エラ+顎先
頬骨+顎先
頬骨縮小
頬骨縮小、エラ縮小
頬骨縮小、エラ縮小、顎先縮小
頬骨縮小、オトガイ、エラ縮小、皮質骨切除、鼻(鼻筋、鼻先)、斜鼻修正、鼻骨幅寄せ、団子鼻
頬骨縮小、顎先縮小、皮質骨切除、目の再手術、自然癒着法二重術、非切開目つき矯正、目頭切開、垂れ目形成
頬骨縮小+アキュスカルプ
頬骨縮小+エラ縮小
頬骨縮小+エラ縮小+アキュスカルプ
頬骨縮小+エラ縮小+フルフェイス脂肪移植+鼻整形
頬骨縮小+エラ縮小+目再手術+鼻再手術
頬骨縮小+エラ縮小+顎先+アキュスカルプ(フェイスライン+二重顎)+鼻整形
頬骨縮小+エラ縮小+顎先+アキュスカルプ+鼻再手術
頬骨縮小+エラ縮小+顎先+輪郭再手術
頬骨縮小+エラ縮小+顎先延長+脂肪移植
頬骨縮小+エラ縮小+顎先形成
頬骨縮小+エラ縮小+顎先形成(顎先短縮)+鼻再手術
頬骨縮小+エラ縮小+顎先形成(顎前進)+目の再手術+鼻整形
頬骨縮小+エラ縮小+顎先形成+アキュスカルプ(二重顎)+鼻整形
頬骨縮小+エラ縮小+顎先形成+アキュスカルプ(頬)
頬骨縮小+エラ縮小+顎先形成+アキュスカルプ+鼻整形
頬骨縮小+エラ縮小+顎先形成+咬筋縮小
頬骨縮小+エラ縮小+顎先形成+脂肪移植(前頬、額)+鼻整形
頬骨縮小+エラ縮小+顎先形成+鼻再手術+脂肪移植(額、前頬)
頬骨縮小+エラ縮小+顎先形成+鼻整形
頬骨縮小+エラ縮小+顎先手術
頬骨縮小+エラ縮小+顎先整形+アキュスカルプ
頬骨縮小+エラ縮小+顎先整形+アキュスカルプ(フェイスライン、二重顎)+鼻整形
頬骨縮小+エラ縮小+顎先整形+咬筋縮小+アキュスカルプ+鼻整形
頬骨縮小+エラ縮小+顎先整形+目整形
頬骨縮小+エラ縮小+顎先整形+突出口
頬骨縮小+エラ縮小+顎先縮小
頬骨縮小+エラ縮小+顎先縮小+輪郭再手術
頬骨縮小+エラ縮小+鼻整形
頬骨縮小+目再手術+ダブルトゥイム+鼻整形
頬骨縮小+鼻整形+アキュスカルプ
頬骨縮小+鼻整形+アキュスカルプ(フェイスライン、二重顎)+脂肪移植(額)
頬骨縮小術
頬骨縮小術、エラ縮小術
頬骨縮小術、エラ縮小術、顎先前進術
頬骨縮小術、エラ縮小術、顎先前進術、皮質骨切除術、隆鼻術、鷲鼻矯正、小鼻縮小
頬骨縮小術、エラ縮小術、顎先縮小術
頬骨縮小術、エラ縮小術、鼻再手術
頬骨縮小術、長曲線
額の脂肪移植
額フィラー
額プロテーゼ
額リフト
額挙上
額挙上 (ボーンタネリング)
額挙上 眉毛挙上術
額挙上、下眼瞼、眉下リフト、脂肪移植(目の下)
額挙上、切開再手術
額挙上、眉毛挙上
額挙上、眉毛挙上、下眼瞼、中顔面挙上
額挙上、自然癒着
額挙上、自然癒着、目の下の脂肪再配置
額挙上、輪郭整形、顔の脂肪吸引、顎先プロテーゼ
額挙上(エンドタイン)
額挙上(内視鏡)
額挙上(糸固定)
額挙上(糸固定)、フルフェイス脂肪移植、貴族プロテーゼ
額挙上術
額縮小
額縮小術
額脂肪移植
顎なし矯正+鼻再手術+団子鼻矯正+小鼻縮小
顎ライン脂肪吸引、糸リフト、フィラー
顎先フィラー
顎先整形+目整形+鼻整形+脂肪移植(額)
顎先縮小、エラ縮小
顎先縮小術
顔の脂肪吸引
顔の脂肪吸引(二重顎)
顔の脂肪注入(前頬、ほうれい線、横頬)
顔の脂肪移植(フルフェイス)
顔の脂肪移植(額)
顔面輪郭
骨盤フィラー
鷲鼻
鷲鼻・団子鼻矯正 鼻炎・美容整形
鷲鼻、団子鼻
鷲鼻、団子鼻、斜鼻
鷲鼻、鼻唇角矯正
鷲鼻+団子鼻修正
鷲鼻+斜鼻矯正
鷲鼻修正
鼻,シリコン,低い鼻の矯正,フィラー除去
鼻,シリコン,鼻先(鼻中隔),鷲鼻矯正,低い鼻の矯正,長い鼻の矯正...
鼻、シリコン、鼻先(寄贈肋軟骨)、短鼻矯正
鼻、シリコン、鼻先(耳介軟骨)、鷲鼻矯正、軟骨縛り
鼻、シリコン、鼻先(鼻中隔、耳介軟骨)、小鼻縮小、わし鼻矯正、長鼻矯正...
鼻、シリコン、鼻先(鼻中隔)
鼻、シリコン、鼻先(鼻中隔)、低い鼻の矯正
鼻、シリコン、鼻先(鼻中隔)、機能2種
鼻、シリコン、鼻先(鼻中隔)、短鼻矯正
鼻、シリコン、鼻先(鼻中隔)、鷲鼻矯正
鼻、シリコン、鼻先(鼻中隔)、鷲鼻矯正、低い鼻の矯正...
鼻、シリコン、鼻先(鼻中隔)、鷲鼻矯正、骨切り
鼻、シリコン、鼻尖(鼻中隔)、小鼻縮小、骨切り
鼻、無プロテーゼ、鼻先(鼻中隔)
鼻、無プロテーゼ、鼻先(鼻中隔)、低い鼻の矯正
鼻、無プロテーゼ、鼻先(鼻中隔)、機能2種
鼻、無プロテーゼ、鼻先(鼻中隔軟骨)、小鼻縮小、鼻尖縮小、鷲鼻矯正...
鼻、無プロテーゼ、鼻先(鼻中隔軟骨)、鷲鼻矯正、骨切り
鼻(再手術)
鼻(再手術)、シリコン入れ替え、鼻先(寄贈肋軟骨)、短鼻矯正...
鼻(再手術)、シリコン入れ替え、鼻先(自家肋軟骨)、拘縮鼻矯正...
鼻(再手術)、シリコン入れ替え、鼻先(鼻中隔軟骨、寄贈肋軟骨)
鼻(鼻筋・鼻先)、小鼻縮小(切開)、鷲鼻、鼻骨縮小
鼻(鼻筋・鼻先)再手術、小鼻縮小(切開)
鼻(鼻筋・鼻先)再手術、鼻孔縁下げ
鼻(鼻筋・鼻先)再手術、鼻骨縮小、小鼻縮小(切開)
鼻(鼻筋、鼻先)
鼻(鼻筋、鼻先)、団子鼻
鼻(鼻筋、鼻先)、団子鼻、小鼻縮小(切開)、耳介軟骨、鼻中隔、シリコン(4.5mm)
鼻(鼻筋、鼻先)、団子鼻、鼻柱下降、小鼻縮小(切開)、自家肋軟骨
鼻(鼻筋、鼻先)、小鼻縮小(切らない)
鼻(鼻筋、鼻先)、斜鼻
鼻(鼻筋、鼻先)、斜鼻、鷲鼻、団子鼻、耳介軟骨、アロダーム、シリコン(4.5mm)
鼻(鼻筋、鼻先)、斜鼻、鼻骨幅寄せ、短い鼻、自家肋軟骨、耳介軟骨、シリコン(4mm)
鼻(鼻筋、鼻先)、斜鼻、鼻骨縮小
鼻(鼻筋、鼻先)、矢印鼻、団子鼻、耳介軟骨、鼻中隔、シリコン(4.5mm)、顎先
鼻(鼻筋、鼻先)、矢印鼻、団子鼻、鷲鼻、鼻骨縮小
鼻(鼻筋、鼻先)、矢印鼻、鷲鼻、鼻孔縁下げ、下鼻甲介、頭皮筋膜、小鼻縮小(切開)、無プロテーゼ
鼻(鼻筋、鼻先)、矢印鼻、鼻骨縮小、エラ、顎先、皮質骨切除
鼻(鼻筋、鼻先)、糸リフト
鼻(鼻筋、鼻先)、骨切り
鼻(鼻筋、鼻先)、骨切り、鷲鼻、斜鼻
鼻(鼻筋、鼻先)、鷲鼻
鼻(鼻筋、鼻先)、鷲鼻、ヴィーナスレーザー
鼻(鼻筋、鼻先)、鷲鼻、エラ
鼻(鼻筋、鼻先)、鷲鼻、エラ、顎先、皮質骨切り
鼻(鼻筋、鼻先)、鷲鼻、フルフェイス脂肪移植
鼻(鼻筋、鼻先)、鷲鼻、団子鼻
鼻(鼻筋、鼻先)、鷲鼻、団子鼻、短い鼻
鼻(鼻筋、鼻先)、鷲鼻、団子鼻、鼻中隔軟骨、耳介軟骨、シリコン(4mm)
鼻(鼻筋、鼻先)、鷲鼻、小鼻縮小(切開)
鼻(鼻筋、鼻先)、鷲鼻、小鼻縮小(非切開)
鼻(鼻筋、鼻先)、鷲鼻、斜鼻、矢印鼻、頭皮筋膜
鼻(鼻筋、鼻先)、鷲鼻、斜鼻、鼻骨縮小
鼻(鼻筋、鼻先)、鷲鼻、斜鼻、鼻骨縮小、小鼻縮小(切開)
鼻(鼻筋、鼻先)、鷲鼻、矢印鼻
鼻(鼻筋、鼻先)、鷲鼻、矢印鼻、耳介軟骨、鼻中隔軟骨、シリコン(6mm)
鼻(鼻筋、鼻先)、鷲鼻、矢印鼻、頬骨、フルフェイス脂肪移植
鼻(鼻筋、鼻先)、鷲鼻、短い鼻
鼻(鼻筋、鼻先)、鷲鼻、短い鼻、団子鼻
鼻(鼻筋、鼻先)、鷲鼻、骨切り
鼻(鼻筋、鼻先)、鷲鼻、骨切り、エラ、頬骨、顎先、皮質骨切除
鼻(鼻筋、鼻先)、鷲鼻、骨切り、鼻翼縮小(切開)
鼻(鼻筋、鼻先)、鷲鼻、鼻中隔、耳介軟骨、シリコン(4mm)、顎プロテーゼ
鼻(鼻筋、鼻先)、鷲鼻、鼻孔縁下降、小鼻縮小(小鼻挙上)
鼻(鼻筋、鼻先)、鷲鼻、鼻骨幅寄せ、エラ、頬骨、顎先
鼻(鼻筋、鼻先)、鷲鼻、鼻骨幅寄せ、団子鼻、頬骨、エラ、顎先、皮質骨切除、脂肪移植(前頬、ほうれい線、額、こめかみ)
鼻(鼻筋、鼻先)、鷲鼻、鼻骨縮小
鼻(鼻筋、鼻先)、鼻中隔、頭皮筋膜
鼻(鼻筋、鼻先)、鼻骨幅寄せ、団子鼻、小鼻縮小(切開)、鼻中隔、耳介軟骨、自家肋軟骨、シリコン(3mm)
鼻(鼻筋、鼻先)、鼻骨幅寄せ、短い鼻、耳介軟骨、鼻中隔、寄贈肋軟骨、シリコン(3.5mm)
鼻(鼻筋、鼻先)、鼻骨幅寄せ、鷲鼻、団子鼻、シリコン(5mm)、フィラー溶解
鼻(鼻筋、鼻先)、鼻骨幅寄せ、鷲鼻、団子鼻、小鼻縮小(切開)、鼻中隔、寄贈肋軟骨
鼻(鼻筋、鼻先)、鼻骨縮小
鼻(鼻筋、鼻先)、鼻骨縮小、団子鼻
鼻(鼻筋、鼻先)、鼻骨縮小、団子鼻、短い鼻、鼻中隔軟骨
鼻(鼻筋、鼻先)、鼻骨縮小、短い鼻、鼻中隔、耳介軟骨、シリコン(3.5mm)
鼻(鼻筋、鼻先)、鼻骨縮小、鷲鼻、団子鼻、耳介軟骨、鼻中隔
鼻(鼻筋、鼻先)、鼻骨縮小、鷲鼻、団子鼻、鼻中隔、耳介軟骨、シリコン(4mm)
鼻(鼻筋、鼻先)、鼻骨縮小、鷲鼻、矢印鼻、団子鼻、耳介軟骨、鼻中隔、シリコン(4mm)
鼻(鼻筋、鼻先)、鼻骨縮小、鷲鼻、矢印鼻、団子鼻、耳介軟骨、鼻中隔、自己真皮(頭皮筋膜)
鼻(鼻筋、鼻先)、鼻骨縮小、鷲鼻、矢印鼻、無プロテーゼ、鼻中隔、耳介軟骨
鼻(鼻筋、鼻先)再手術
鼻(鼻筋、鼻先)再手術、ヴィーナスレーザー
鼻(鼻筋、鼻先)再手術、エラ、頬骨、顎先、皮質骨切り
鼻(鼻筋、鼻先)再手術、エラ、顎先、ヴィーナスレーザー
鼻(鼻筋、鼻先)再手術、フルフェイス脂肪移植、ヴィーナスレーザー
鼻(鼻筋、鼻先)再手術、団子鼻、矢印鼻、鼻孔縁下降、鼻中隔、耳介軟骨、貴族手術
鼻(鼻筋、鼻先)再手術、団子鼻、鼻柱下げ、鼻中隔、耳介軟骨、シリコン(3.5mm)
鼻(鼻筋、鼻先)再手術、斜鼻、団子鼻、寄贈肋軟骨、シリコン
鼻(鼻筋、鼻先)再手術、斜鼻、鷲鼻、鼻骨縮小、寄贈肋軟骨、頬骨、エラ、顎先、皮質骨切除、脂肪移植(額)
鼻(鼻筋、鼻先)再手術、斜鼻、鼻柱下降、骨切り、寄贈肋軟骨
鼻(鼻筋、鼻先)再手術、脂肪移植(額、顎)
鼻(鼻筋、鼻先)再手術、頭皮筋膜、寄贈肋軟骨
鼻(鼻筋、鼻先)再手術、鷲鼻
鼻(鼻筋、鼻先)再手術、鷲鼻、骨切り
鼻(鼻筋、鼻先)再手術、鼻骨縮小、鷲鼻、斜鼻、団子鼻、自家肋軟骨、ウルセラ、Vラインボトックス
鼻の再手術
鼻の再手術(団子鼻、鷲鼻)
鼻先、小鼻縮小(切開)
鼻先、矢印鼻、鼻中隔
鼻先、鷲鼻
鼻先、鼻骨縮小、鷲鼻
鼻再手術、フェイスリフト。上眼瞼、下眼瞼
鼻再手術、上向き鼻の矯正
鼻再手術、寄贈肋軟骨
鼻再手術、寄贈肋軟骨、鷲鼻矯正
鼻再手術、小鼻縮小
鼻再手術、斜鼻、小鼻縮小、自家肋軟骨
鼻再手術、機能的鼻整形
鼻再手術、機能肋軟骨
鼻再手術、無プロテーゼ鼻整形、鷲鼻矯正、斜鼻矯正
鼻再手術、目頭切開復元
鼻再手術、短い鼻の矯正
鼻再手術、自家肋軟骨
鼻再手術、自家肋軟骨、下鼻甲介
鼻再手術、自家肋軟骨、小鼻縮小、下鼻甲介、鼻中隔湾曲症、鼻バルブ形成術
鼻再手術、自家肋軟骨、骨切り、拘縮鼻
鼻再手術、自家肋軟骨。頬骨縮小
鼻再手術、鷲鼻矯正、団子鼻矯正
鼻再手術、鼻孔縁下げ
鼻再手術(ピンチノーズ、斜鼻、鼻柱形成)
鼻再手術(団子鼻、斜鼻、鼻柱矯正)
鼻再手術(団子鼻、長い鼻、龍鼻)
鼻再手術(団子鼻、鼻唇角矯正、斜鼻、自家肋軟骨)
鼻再手術(斜鼻、長い鼻、鼻唇角矯正)
鼻再手術(短い鼻、団子鼻、小鼻縮小、鼻柱矯正)
鼻再手術(短い鼻、曲がった鼻、鼻柱矯正)
鼻再手術(短い鼻、曲がった鼻)
鼻再手術(短鼻、団子鼻、鼻柱矯正)
鼻再手術(臀部真皮)、鼻孔縁下げ
鼻再手術+小鼻縮小+団子鼻矯正
鼻再手術+縮鼻術+短鼻矯正+団子鼻矯正
鼻尖、鼻骨縮小、脂肪移植(目の下)、ハート糸リフト、顎先
鼻尖形成
鼻尖形成、小鼻縮小
鼻尖形成、小鼻縮小、団子鼻
鼻尖形成、鷲鼻矯正
鼻尖形成、鷲鼻矯正、骨切り
鼻整形
鼻整形 団子鼻修正+鷲鼻
鼻整形 団子鼻矯正
鼻整形 団子鼻矯正+小鼻縮小
鼻整形 団子鼻矯正+短鼻矯正
鼻整形 団子鼻矯正+短鼻矯正+鷲鼻
鼻整形 団子鼻矯正+鼻炎・美容鼻
鼻整形 団子鼻矯正+鼻炎鼻整形
鼻整形 基本
鼻整形 基本鼻+鼻炎美容鼻
鼻整形 寄贈肋軟骨
鼻整形 小鼻縮小
鼻整形 小鼻縮小+短鼻矯正+団子鼻矯正
鼻整形 斜鼻修正+小鼻縮小
鼻整形 斜鼻矯正
鼻整形 短鼻矯正+団子鼻矯正
鼻整形 骨切り+鷲鼻
鼻整形 鷲鼻
鼻整形 鷲鼻+団子鼻矯正
鼻整形 鷲鼻+小鼻縮小+団子鼻矯正
鼻整形 鷲鼻+短鼻矯正
鼻整形 鼻の再手術
鼻整形 鼻再手術+団子鼻矯正
鼻整形 鼻再手術+団子鼻矯正+小鼻縮小
鼻整形 鼻再手術+小鼻縮小+団子鼻矯正
鼻整形 鼻炎美容鼻
鼻整形 鼻炎美容鼻+短鼻矯正
鼻整形、団子鼻修正、鷲鼻修正
鼻整形、団子鼻整形
鼻整形、団子鼻整形、短鼻矯正
鼻整形、団子鼻矯正
鼻整形、団子鼻矯正、小鼻縮小
鼻整形、団子鼻矯正、機能的鼻整形
鼻整形、団子鼻矯正、機能的鼻整形、鷲鼻矯正
鼻整形、団子鼻矯正、鷲鼻矯正
鼻整形、寄贈肋軟骨追加、広鼻修正(骨切り)
鼻整形、小鼻縮小
鼻整形、小鼻縮小、団子鼻修正
鼻整形、広鼻矯正、骨切り
鼻整形、広鼻矯正、骨切り、機能的鼻整形
鼻整形、広鼻矯正(骨切り術)
鼻整形、機能的鼻整形
鼻整形、機能鼻整形、団子鼻矯正
鼻整形、短鼻矯正
鼻整形、短鼻矯正、機能的鼻整形
鼻整形、骨切り
鼻整形、骨切り、団子鼻矯正
鼻整形、骨切り、鷲鼻修正、矢印鼻修正
鼻整形、鷲鼻矯正
鼻整形、鷲鼻矯正、広鼻矯正
鼻整形、鷲鼻矯正、広鼻矯正(骨切り術)
鼻整形、鷲鼻矯正、機能的鼻整形
鼻整形、鷲鼻矯正、骨切り
鼻整形、鼻再手術
鼻整形[鼻筋+鼻先)
鼻整形[鼻筋+鼻先]
鼻整形再手術+小鼻縮小
鼻整形再手術+短い鼻の矯正
鼻整形再手術+鼻炎美容鼻
鼻筋
鼻筋+鼻先
鼻筋+鼻先(軟骨再配置)
鼻筋+鼻先+顎なし
鼻筋+鼻先+鷲鼻+頬骨縮小
すべてのクリニック
DA美容外科医院
WANT美容外科
ウィバース整形外科医院
エイペックス美容外科医院
オールリティング美容外科
サンキュー整形外科医院
ジェイジュン美容外科
ナナ美容外科
ベリーグッド整形外科
メロン美容外科
リエンジャン整形外科
ワンダフル美容外科
ワンデイ歯科医院
江南ソヨン整形外科医院
뷰티블라썸의원
에이탑성형외과의원
올로성형외과의원
허쉬성형외과의원
Before
After
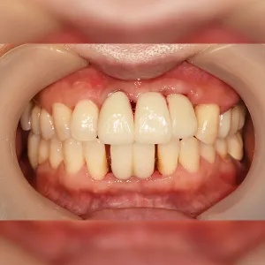
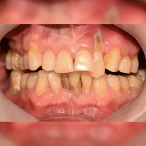
ワンデイ歯科医院
上顎/臼歯部 / 4本以上 / 骨移植|高血圧
症例.225 60代 キム*ソン 2019-03-26 / 2019-11-20
Before
After
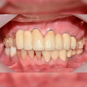
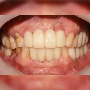
ワンデイ歯科医院
上顎/臼歯部 / 4本以上 / 骨移植|睡眠
ケース.217 60代 オ*ジン 2020-07-06 / 2021-05-03
Before
After
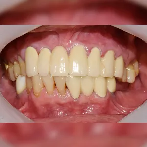
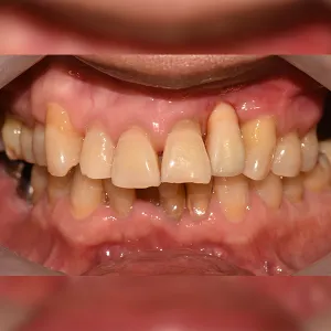
ワンデイ歯科医院
上顎/臼歯部 / 4本以上 / 骨移植|睡眠
症例.212 50代 朴*斗 2019-11-15 / 2020-07-03
Before
After
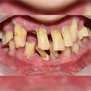
ワンデイ歯科医院
下顎/臼歯部 / 3本以下 / 骨移植|睡眠
症例.208 60代 徐*橋 2019-04-19 / 2021-03-31
Before
After
ワンデイ歯科医院
下顎/臼歯部 / 3本以下 / 骨移植 | 睡眠 | 高血圧
症例.201 60代 クォン*ヨル 2018-07-06 / 2019-03-15
Before
After
ワンデイ歯科医院
下顎/臼歯部 / 3本以下 / 骨移植|睡眠
症例.199 50代 クォン*サム 2019-08-08 / 2019-12-13
Before
After
ワンデイ歯科医院
下顎/前歯部 / 4本以上 / 高血圧
症例.166 70代 キム*ハ 2018-08-21 / 2018-11-08
Before
After
ワンデイ歯科医院
下顎/前歯部 / 3本以下 / 骨移植|アスピリン
症例.130 70代 キム*ヘ 2019-09-05 / 2020-04-02
Before
After
ワンデイ歯科医院
上顎/前歯部 / 3本以下 / 骨移植|睡眠
ケース119 60代 オ*ジン 2020-07-06 / 2021-05-03
116
117
118
119
120
今見ている人:
ホーム
検索
人生ガチャ
お気に入り
メッセージ
マイ
人気キーワード
美容外科
皮膚科
歯科
ボトックス
フィラー